Перейти к:
Опыт клинического применения асфотазы альфа у молодого пациента с детской формой гипофосфатазии
https://doi.org/10.14341/osteo10136
Аннотация
Гипофосфатазия – редкое наследственное метаболическое заболевание, проявляющееся дефектами минерализации костей скелета и зубов, системными осложнениями, приводящими к инвалидизации больных. В зависимости от возраста манифестации и тяжести симптомов различают шесть форм гипофосфатазии. Клиническая картина заболевания обусловлена накоплением пирофосфатов вследствие снижения ферментативной активности неспецифического тканевого изофермента щелочной фосфатазы. Единственной патогенетической терапией является пожизненная фермент-заместительная терапия асфотазой альфа. Применение данного препарата у пациентов с перинатальной, инфантильной и детской формами гипофосфатазии позволяет значительно улучшить качество жизни и общую выживаемость. Опыт использования рекомбинантной щелочной фосфатазы у взрослых в мире ограничен. В данной статье приведено описание клинического случая 18-летнего пациента с поздней диагностикой детской формы гипофосфатазии и поздним началом терапии патогенетическим генно-инженерным препаратом щелочной фосфатазы – асфотазой альфа.
Ключевые слова
Для цитирования:
Калинченко Н.Ю., Голоунина О.О., Гребенникова Т.А., Мельниченко Г.А., Тюльпаков А.Н., Белая Ж.Е. Опыт клинического применения асфотазы альфа у молодого пациента с детской формой гипофосфатазии. Остеопороз и остеопатии. 2019;22(1):24-29. https://doi.org/10.14341/osteo10136
For citation:
Kalinchenko N.Y., Golounina O.O., Grebennikova T.A., Melnichenko G.A., Tiulpakov A.N., Belaya Zh.E. Clinical application experience of asfotase alfa for a young patient with childhood hypophosphatasia. Osteoporosis and Bone Diseases. 2019;22(1):24-29. (In Russ.) https://doi.org/10.14341/osteo10136
АКТУАЛЬНОСТЬ
Гипофосфатазия – редкое генетическое заболевание с аутосомно-рецессивным или доминантным типом наследования, обусловленное мутациями в гене ALPL, кодирующем неспецифический тканевой изофермент щелочной фосфатазы (tissue nonspecific alkaline phosphatase, TNSALP). Ген ALPL, состоящий из 12 экзонов, локализован на хромосоме 1 (1p36.1–34) [1]. На сегодняшний день описано более 388 мутаций в различных участках гена ALPL [2], что объясняет широкий спектр клинических проявлений. Согласно оценочным данным, распространенность заболевания составляет 1:100 000 – 1:300 000 новорожденных [3].
В норме TNSALP гидролизует неорганический пирофосфат, пиридоксаль-5’-фосфат и фосфоэтаноламин – основные ингибиторы формирования кристаллов гидроксиапатита. Снижение ферментативной активности TNSALP приводит к накоплению его внеклеточных субстратов [1], нарушая процессы минерализации костей и образования кристаллов гидроксиапатита [4]. При гистоморфометрии наблюдается увеличение объема остеоида, содержащего большое количество неминерализованного костного матрикса без кристаллов гидроксиапатита, что приводит к рахиту и остеомаляции [1].
В зависимости от возраста манифестации заболевания могут наблюдаться аномалии костей, диагностированные внутриутробно, ранняя потеря зубов, низкий рост, краниосиностоз, рахитические изменения скелета, мышечная гипотония, витамин B6-зависимые судороги [1, 5].
Единственной патогенетической терапией гипофосфатазии является пожизненная ферментная заместительная терапия человеческой рекомбинантной TNSALP – асфотазой альфа [6, 7], одобренная в 2015 году Американским Агентством по контролю за пищевыми продуктами и медикаментами (FDA) для лечения перинатальной, инфантильной и детской форм гипофосфатазии в США [8, 9]. В том же году препарат был разрешен к применению в клинической практике в Канаде, Японии и Европе.
В литературе есть сообщения [10, 11] об успешном использовании асфотазы альфа у небольших групп взрослых пациентов.
В статье представлен первый клинический опыт применения генно-инженерного препарата щелочной фосфатазы – асфотазы альфа в России у молодого человека с 17 до 18 лет включительно с детской формой гипофосфатазии.
ОПИСАНИЕ СЛУЧАЯ
Пациент А. впервые обратился в ФГБУ «НМИЦ эндокринологии» Минздрава России в возрасте 17 лет с жалобами на выраженную мышечную слабость, тремор рук и ног, ограничение физической активности, невозможность самостоятельного передвижения – ходил с помощью костылей. При осмотре отмечались килевидная деформация грудной клетки, выраженная варусная деформация бедер, вальгусная деформация коленных суставов и голеней, плосковальгусная установка стоп, кифоз поясничного отдела позвоночника (Рис. 1). Рост 152 см, вес 65 кг, ИМТ = 28,1 кг/м2.
Рис. 1. Внешний вид пациента с гипофосфатазией.
Примечание: килевидная деформация грудной клетки, варусная деформация бедер, плосковальгусная установка стоп.
Из анамнеза известно, что на втором году жизни появилась деформация грудной клетки, отмечалась «утиная походка» при хождении за руки, задержка моторного развития – самостоятельно не ходил до 2,5 лет. Состояние было расценено как витамин D-зависимый рахит, получал медикаментозную терапию активными метаболитами витамина D, что приводило к ухудшению состояния. В возрасте трех лет перенес перелом костей левой голени, в 5 лет – перелом крестца.
При обследовании в возрасте 15 лет: вальгусная деформация нижних конечностей, снижение уровня 25(ОН)D до 11,1 нг/мл (норма >30), ЩФ – до 20 Ед/л (норма 40–390), фосфора – до 0,77 ммоль/л (норма 0,95–1,65) на фоне нормальных показателей кальция и незначительном снижении паратгормона. Отмечал боли в ногах и мышечную слабость, неоднократные вывихи голеностопных суставов. Сочетание рахитических изменений структуры костей и низкого уровня ЩФ послужили основанием для постановки диагноза гипофосфатазия.
При поступлении в стационар показатели фосфорно-кальциевого обмена в пределах референсных значений, активность ЩФ снижена до 18 Ед/л. При рентгенологическом исследовании коленных и голеностопных суставов определялись множественные участки разрежения костной ткани и остеосклероза, сужения суставных щелей, признаки хондрокальциноза. Молекулярно-генетический анализ выявил наличие компаундной гетерозиготной мутации в гене ALPL c.302A>G/ c.571G>A, что подтвердило диагноз гипофосфатазия. Обе мутации описаны ранее.
Учитывая выраженную задержку роста (SDS -3,24), наличие костных деформаций, ограничение движений (боли в ногах и быстрая утомляемость при ходьбе, передвижение с опорой на костыли), тремор в покое и после физических нагрузок пациенту показана терапия асфотазой альфа. Поскольку препарат не зарегистрирован в России, отец ребенка дал письменное согласие на лечение исследуемым препаратом. Первая инъекция была выполнена в 17,9 лет (23.07.2018).
Через 5 месяцев терапии асфотазой альфа в дозе 70 мг/сут отмечена значимая положительная динамика: снижение тремора мышц во время ходьбы, повышение толерантности к физическим нагрузкам, возможность самостоятельного передвижения без костылей на расстояние 86 метров по результатам теста с 6-минутной ходьбой. Учитывая, что до лечения передвижение пациента было возможно исключительно с опорой на костыли, эффективность терапии оценивалась по увеличению расстояния, которое пациент может проходить самостоятельно.
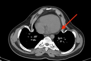
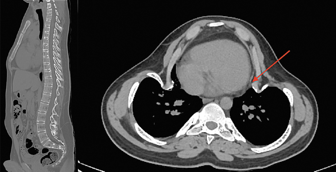
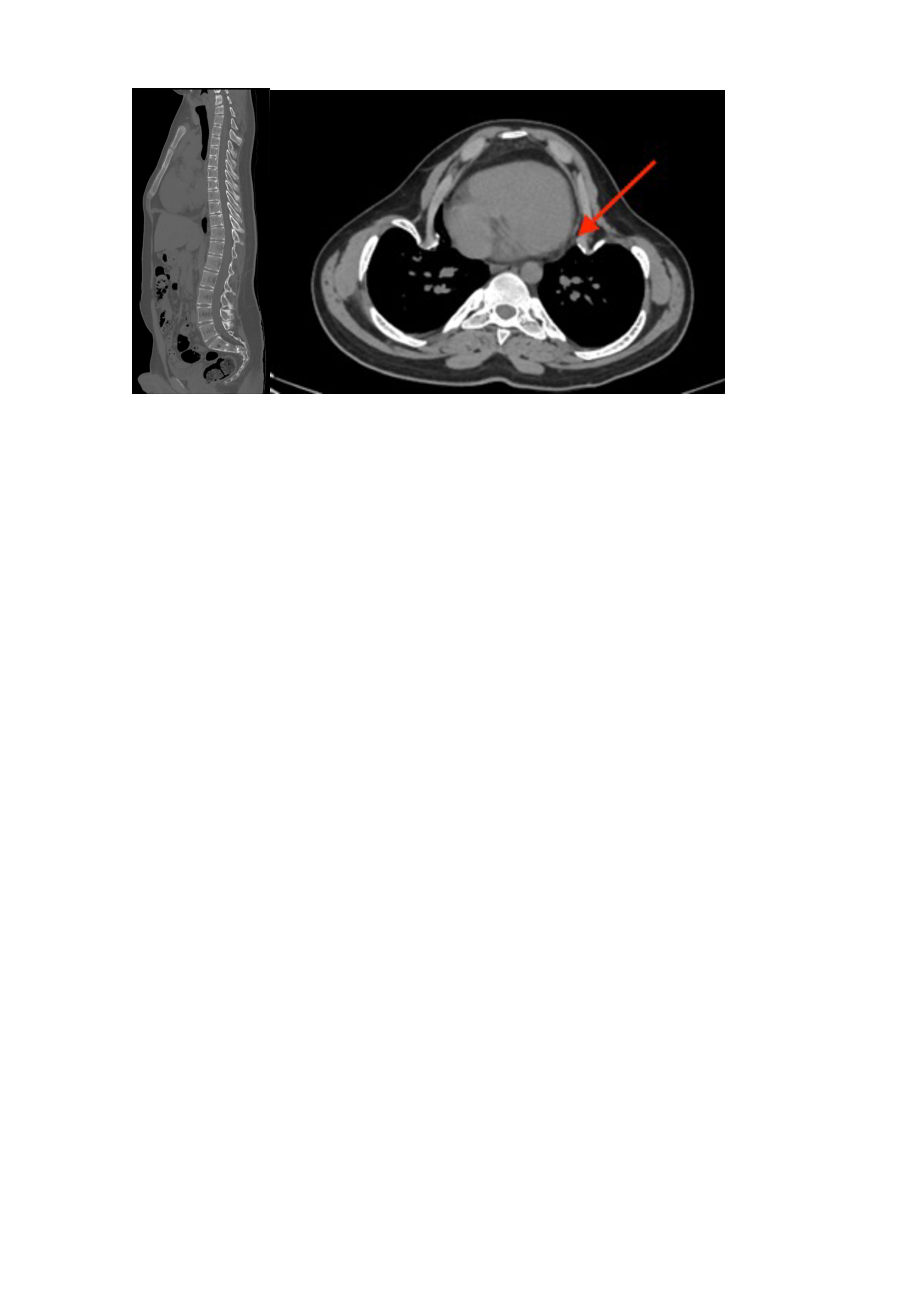
При исследовании состояния костной системы выявлено повышение маркеров костного ремоделирования: остеокальцин – 92,38 нг/мл (норма 24–70), С-концевой телопептид коллагена I типа – 1,39 нг/мл (норма 0,01–0,7). По результатам мультиспиральной компьютерной томографии грудного и поясничного отделов позвоночника отмечается выраженная кифосколиотическая деформация с прилежанием ребер к перикарду правого предсердия (Рис. 2).
Рис. 2. МСКТ грудного и поясничного отделов позвоночника.
Описание: выраженная кифосколиотическая деформация с прилежанием ребер к перикарду правого предсердия.
С целью компенсации недостаточности витамина D в стационаре проводилась терапия препаратом нативного витамина D – колекальциферолом в суммарной насыщающей дозе 200 000 МЕ. В дальнейшем для поддержания оптимального уровня витамина D был рекомендован прием колекальциферола по 10 000 МЕ/нед.
На момент последнего наблюдения, через 6 месяцев после инициации терапии, пациент продолжает лечение асфотазой альфа в дозе 70 мг/сут 3 раза в неделю. На фоне проводимой терапии субъективно ощущает появление мышечной силы, желание двигаться, полностью исчез тремор рук и ног, самостоятельно может пройти 100 метров без опоры на костыли. Содержание ЩФ в крови – 8864 Ед/л, что свидетельствует о комплаентности пациента и эффективности проводимой терапии. Единственным осложнением проводимой терапии является местная реакция в виде гиперемии в местах инъекций препарата (Рис. 3). Данное осложнение является распространенным и, по данным литературы, встречается более чем у 90% пациентов, получающих лечение.
Рис. 3. Реакции в местах подкожных инъекций асфотазы альфа.
Рекомендовано продолжить терапию генно-инженерным препаратом щелочной фосфатазы (асфотаза альфа 70 мг/сут 3 раза в неделю) и нативным витамином D (колекальциферол 10 000 МЕ/нед) под контролем показателей фосфорно-кальциевого обмена 1 раз в 3 месяца.
ОБСУЖДЕНИЕ
Гипофосфатазия – редкое наследственное прогрессирующее рахитоподобное заболевание, впервые описанное в 1934 году B. Chown у сибсов, умерших от патологии, названной тогда «ренальным рахит» [12]. В 1948 году канадский педиатр John C. Rathbun сообщил о трехлетнем пациенте с переломами костей, выраженным отставанием в росте, судорожным синдромом и резко сниженным уровнем щелочной фосфатазы в крови [13].
До недавнего времени единственно возможным методом лечения гипофосфатазии оставалась симптоматическая терапия. Попытки использования внутривенных инфузий плазмы, богатой растворимой ЩФ, от пациентов с болезнью Педжета, не приносили желаемого результата [14]. Трансплантация аллогенных мезенхимальных столовых клеток костного мозга также оказалась малоэффективной [14, 15]. В 2008 году был создан качественно новый препарат с лабораторным кодом ENB-0040, Asfotase Аlfa, зарегистрированный в октябре 2015 года в США [8]. На основании успешных доклинических испытаний у мышей Alpl - / - [16, 17] были проведены клинические исследования на людях. На сегодняшний день асфотаза альфа одобрена во многих странах для лечения гипофосфатазии.
Асфотаза альфа – рекомбинантная молекула с Fc-доменом IgG1 и карбокситерминальным дека-аспартатным участком, имеющая высокое сродство к кристаллам гидроксиапатита [17]. Терапевтическое действие реализуется через гидролиз неорганического пирофосфата, снижение накопления внеклеточных субстратов TNSALP, что улучшает минерализацию скелета.
Эффективность и безопасность использования препарата оценивалась в проспективных открытых многоцентровых клинических исследованиях (NCT00952484, NCT01203826) у больных с перинатальной, инфантильной и детской формами гипофосфатазии [19]. По мере накопления результатов клинических исследований было показано значительное улучшение минерализации, гистологической структуры костной ткани, увеличение общей выживаемости пациентов на фоне лечения асфотазой альфа [19, 20].
В настоящее время имеются данные, свидетельствующие об эффективности фермент-заместительной терапии TNSALP у подростков и взрослых пациентов с гипофосфатазией [10, 21]. Результаты пятилетних наблюдений в рамках многоцентрового рандомизированного открытого исследования II фазы (NCT01163149) 19 больных, средний возраст которых составил 55 лет (13–66 лет), указывают на значительную положительную динамику в отношении показателей минерализации кости, снижения внеклеточных субстратов TNSALP, улучшения двигательной активности и качества жизни пациентов, уменьшения болевого синдрома при применении препарата в дозах 0,3 мг/кг/сут или 0,5 мг/кг/сут с последующим увеличение до 1 мг/кг/сут подкожно 6 раз в неделю. Наиболее частыми нежелательными явлениями были реакции в местах введения препарата, включая эритему, боль, отек и зуд, не требующие прерывать лечение.
В России асфотаза альфа впервые была применена в 2015 году при лечении двух пациентов с инфантильной и детской формами гипофосфатазии в возрасте 6 месяцев и 7 лет соответственно [23], однако не было сообщений об использовании препарата у взрослых пациентов с детской формой в нашей стране. В представленном нами клиническом случае, учитывая развитие многообразных осложнений данного заболевания, прогрессирующую инвалидизацию пациента, повышенный риск смертности по отношению к общей популяции, консилиумом и Врачебной комиссией ФГБУ «НМИЦ эндокринологии» Минздрава России было принято решение о терапии генно-инженерным препаратом щелочной фосфатазы. На фоне непрерывного лечения асфотазой альфа в течение шести месяцев отмечен стойкий положительный эффект – объективное клиническое улучшение, повышение качества жизни пациента, достижение адекватного контроля над заболеванием. За весь период наблюдения значимых побочных действий, кроме местных реакций, не наблюдалось.
Принимая во внимание отсутствие в Российской Федерации опыта лечения взрослых пациентов асфотазой альфа, необходимо дальнейшее регулярное медицинское наблюдение и контроль биохимических показателей.
ЗАКЛЮЧЕНИЕ
Описанный клинический случай наглядно демонстрирует тяжесть течения заболевания при отсутствии своевременной диагностики и коррекции нарушений. На основании данных зарубежной литературы [24], несмотря на небольшое количество исследований, была инициирована терапия человеческой рекомбинантной TNSALP – асфотазой альфа, незарегистрированной в нашей стране. Настоящий клинический случай демонстрирует эффективность инициации терапии асфотазой альфа даже в случае позднего установления диагноза. На фоне лечения уже через 5 месяцев у пациента в 18-летнем возрасте наблюдалось уменьшение болевого синдрома, расширение двигательной активности и уменьшение тремора, что не сопровождалось какими-либо нежелательными явлениями за исключением покраснения в месте инъекций и положительный эффект от лечения сохранялся в течение еще последующих 3 месяцев наблюдения. Тем не менее, необходимо проведение дальнейших исследований, результаты которых позволили бы подтвердить эффективность и безопасность длительного применения фермент-заместительной терапии TNSALP у больных с гипофосфатазией всех возрастных диапазонов.
Дополнительная информация
Согласие пациента. Пациент добровольно подписал информированное согласие на публикацию персональной медицинской информации в обезличенной форме в журнале «Остеопороз и остеопатии».
Конфликт интересов. Авторы декларируют отсутствие явных и потенциальных конфликтов интересов, связанных с публикацией настоящей статьи.
Список литературы
1. Whyte MP. Hypophosphatasia — aetiology, nosology, pathogenesis, diagnosis and treatment. Nature Reviews Endocrinology. 2016;12(4):233-246. doi: https://doi.org/10.1038/nrendo.2016.14
2. Sesep.uvsq,fr/03 [Internet]. Mornet E. The tissue nonspecific alkaline phosphatase gene mutations database. Accessed date: 10 February 2019. Available from: http://www.sesep.uvsq.fr/03_hypo_mutations.php. 2019.
3. Mornet E. Hypophosphatasia. Orphanet J. Rare Dis. 2007;2(1). doi: https://doi.org/10.1186/1750-1172-2-40
4. Addison WN, Azari F, Sørensen ES, et al. Pyrophosphate Inhibits Mineralization of Osteoblast Cultures by Binding to Mineral, Up-regulating Osteopontin, and Inhibiting Alkaline Phosphatase Activity. J. Biol. Chem. 2007;282(21):15872-15883. doi: https://doi.org/10.1074/jbc.M701116200
5. Orimo H. Pathophysiology of hypophosphatasia and the potential role of asfotase alfa. Ther. Clin. Risk Manag. 2016:777. doi: https://doi.org/10.2147/tcrm.s87956
6. Whyte MP, Greenberg CR, Salman NJ, et al. Enzyme-Replacement Therapy in Life-Threatening Hypophosphatasia. N. Engl. J. Med. 2012;366(10):904-913. doi: https://doi.org/10.1056/NEJMoa1106173
7. Whyte MP, Rockman-Greenberg C, Ozono K, et al. Asfotase Alfa Treatment Improves Survival for Perinatal and Infantile Hypophosphatasia. J. Clin. Endocr. Metab. 2016;101(1):334-342. doi: https://doi.org/10.1210/jc.2015-3462
8. Alexion.com [Internet]. FDA Approves StrensiqTM (asfotase alfa) for Treatment of Patients with Perinatal-, Infantile- and Juvenile-Onset Hypophosphatasia (HPP). Available from: https://alexion.com/Documents/Strensiq_USPI.
9. Scott LJ. Asfotase Alfa in Perinatal/Infantile-Onset and Juvenile-Onset Hypophosphatasia: A Guide to Its Use in the USA. Biodrugs. 2016;30(1):41-48. doi: https://doi.org/10.1007/s40259-016-0161-x
10. Remde H, Cooper MS, Quinkler M. Successful Asfotase Alfa Treatment in an Adult Dialysis Patient With Childhood-Onset Hypophosphatasia. Journal of the Endocrine Society. 2017;1(9):1188-1193. doi: https://doi.org/10.1210/js.2017-00307
11. Freitas TQ, Franco AS, Pereira RMR. Improvement of bone microarchitecture parameters after 12 months of treatment with asfotase alfa in adult patient with hypophosphatasia. Medicine. 2018;97(48):e13210. doi: https://doi.org/10.1097/md.0000000000013210
12. Macfarlane JD, Kroon HM, van der Harten JJ. Phenotypically dissimilar hypophosphatasia in two sibships. Am. J. Med. Genet. 1992;42(1):117-121. doi: https://doi.org/10.1002/ajmg.1320420124
13. Rathbun JC. «Hypophosphatasia». Am. J. Dis. Child. 1948;75(6):822. doi: https://doi.org/10.1001/archpedi.1948.02030020840003
14. Whyte MP, Valdes R, Ryan LM, McAlister WH. Infantile hypophosphatasia: Enzyme replacement therapy by intravenous infusion of alkaline phosphatase-rich plasma from patients with Paget bone disease. The Journal of Pediatrics. 1982;101(3):379-386. doi: https://doi.org/10.1016/s0022-3476(82)80061-9
15. Whyte MP, Kurtzberg J, McAlister WH, et al. Marrow Cell Transplantation for Infantile Hypophosphatasia. J. Bone Miner. Res. 2003;18(4):624-636. doi: https://doi.org/10.1359/jbmr.2003.18.4.624
16. Tadokoro M, Kanai R, Taketani T, et al. New Bone Formation by Allogeneic Mesenchymal Stem Cell Transplantation in a Patient with Perinatal Hypophosphatasia. The Journal of Pediatrics. 2009;154(6):924-930. doi: https://doi.org/10.1016/j.jpeds.2008.12.021
17. Millán JL, Narisawa S, Lemire I, et al. Enzyme Replacement Therapy for Murine Hypophosphatasia. J. Bone Miner. Res. 2007;23(6):777-787. doi: https://doi.org/10.1359/jbmr.071213
18. Yadav MC, Lemire I, Leonard P, et al. Dose response of bone-targeted enzyme replacement for murine hypophosphatasia. Bone. 2011;49(2):250-256. doi: https://doi.org/10.1016/j.bone.2011.03.770
19. Bowden SA, Foster BL. Profile of asfotase alfa in the treatment of hypophosphatasia: design, development, and place in therapy. Drug Des. Devel. Ther. 2018;Volume 12:3147-3161. doi: https://doi.org/10.2147/dddt.s154922
20. Whyte MP, Madson KL, Phillips D, et al. Asfotase alfa therapy for children with hypophosphatasia. JCI Insight. 2016;1(9). doi: https://doi.org/10.1172/jci.insight.85971
21. Whyte MP, Simmons JH, Moseley S, et al. Asfotase alfa for infants and young children with hypophosphatasia: 7 year outcomes of a single-arm, open-label, phase 2 extension trial. The Lancet Diabetes & Endocrinology. 2019;7(2):93-105. doi: https://doi.org/10.1016/s2213-8587(18)30307-3
22. Kishnani PS, Rockman-Greenberg C, Rauch F, et al. Five-year efficacy and safety of asfotase alfa therapy for adults and adolescents with hypophosphatasia. Bone. 2019;121:149-162. doi: https://doi.org/10.1016/j.bone.2018.12.011
23. Калинченко Н.Ю., Тюльпаков А.Н., Киреева А.С. и др. Первый опыт фермент-заместительной терапии гипофосфатазии в России. — 2016. — T. 18. — С. 1235—1240. [Kalinchenko NYu, Tyulpakov AN, Kireeva AS, et al. The first experience of the enzyme replacement therapy for hypophosphatasia in Russia. RMJ. 2016;18:1235-1240. (In Russ.)]
24. Shapiro JR, Lewiecki EM. Hypophosphatasia in Adults: Clinical Assessment and Treatment Considerations. J. Bone Miner. Res. 2017;32(10):1977-1980. doi: https://doi.org/10.1002/jbmr.3226
Об авторах
Наталья Юрьевна КалинченкоРоссия
кандидат медицинских наук, ведущий научный сотрудник отделения тиреодологии соматического, репродуктивного здоровья
Ольга Олеговна Голоунина
Россия
студентка 2-го курса лечебного факультета
Татьяна Алексеевна Гребенникова
Россия
кандидат медицинских наук, старший научный сотрудник отделения нейроэндокринологии и остеопатий
Галина Афанасьевна Мельниченко
Россия
доктор медицинских наук, профессор, академик РАН, директор института Клинической эндокринологии
Анатолий Николаевич Тюльпаков
Россия
доктор медицинских наук, директор института персонализированной медицины
Жанна Евгеньевна Белая
Россия
доктор медицинских наук, заведующая отделением нейроэндокринологии и остеопатий
Дополнительные файлы
|
|
1. Рис. 1. Внешний вид пациента с гипофосфатазией. | |
| Тема | ||
| Тип | Прочее | |
Посмотреть
(906KB)
|
Метаданные ▾ | |
|
|
2. Рис. 2. МСКТ грудного и поясничного отделов позвоночника. | |
| Тема | ||
| Тип | Прочее | |
Посмотреть
(539KB)
|
Метаданные ▾ | |
|
|
3. Рис. 3. Реакции в местах подкожных инъекций асфотазы альфа. | |
| Тема | ||
| Тип | Прочее | |
Посмотреть
(434KB)
|
Метаданные ▾ | |
|
4. Рисунок 3. МСКТ грудного и поясничного отделов позвоночника. | |
| Тема | ||
| Тип | Прочее | |
Скачать
(191KB)
|
Метаданные ▾ | |
|
5. Рисунок 3. МСКТ грудного и поясничного отделов позвоночника. | |
| Тема | ||
| Тип | Прочее | |
Скачать
(360KB)
|
Метаданные ▾ | |
|
|
6. Рисунок 3. МСКТ грудного и поясничного отделов позвоночника. | |
| Тема | ||
| Тип | Прочее | |
Посмотреть
(15KB)
|
Метаданные ▾ | |
|
|
7. Рисунок 4. Реакции в местах подкожных инъекций асфотазы альфа. | |
| Тема | ||
| Тип | Прочее | |
Посмотреть
(12KB)
|
Метаданные ▾ | |
|
|
8. Рисунок 4. Реакции в местах подкожных инъекций асфотазы альфа. | |
| Тема | ||
| Тип | Прочее | |
Посмотреть
(6KB)
|
Метаданные ▾ | |
|
|
9. Рисунок 1. Внешний вид пациента с гипофосфатазией. | |
| Тема | ||
| Тип | Прочее | |
Посмотреть
(703KB)
|
Метаданные ▾ | |
|
|
10. Рисунок 3. МСКТ грудного и поясничного отделов позвоночника. | |
| Тема | ||
| Тип | Прочее | |
Посмотреть
(683KB)
|
Метаданные ▾ | |
|
|
11. Рисунок 4. Реакции в местах подкожных инъекций асфотазы альфа. | |
| Тема | ||
| Тип | Прочее | |
Посмотреть
(688KB)
|
Метаданные ▾ | |
Рецензия
Для цитирования:
Калинченко Н.Ю., Голоунина О.О., Гребенникова Т.А., Мельниченко Г.А., Тюльпаков А.Н., Белая Ж.Е. Опыт клинического применения асфотазы альфа у молодого пациента с детской формой гипофосфатазии. Остеопороз и остеопатии. 2019;22(1):24-29. https://doi.org/10.14341/osteo10136
For citation:
Kalinchenko N.Y., Golounina O.O., Grebennikova T.A., Melnichenko G.A., Tiulpakov A.N., Belaya Zh.E. Clinical application experience of asfotase alfa for a young patient with childhood hypophosphatasia. Osteoporosis and Bone Diseases. 2019;22(1):24-29. (In Russ.) https://doi.org/10.14341/osteo10136
Контент доступен под лицензией Creative Commons Attribution-NonCommercial-NoDerivatives 4.0 International License (CC BY-NC-ND 4.0).
































