A case of atypical femur fracture during long-term treatment with bisphosphonates in patient with postmenopausal osteoporosis
https://doi.org/10.14341/osteo10286
Abstract
Bisphosphonates is a first-line therapy for treatment of osteoporosis. In the last decade, the number of atypical femur fracture (AFF) cases during long-term treatment with bisphosphonates has increased. The aim of this article was to analyze the literature data on this problem, to define the diagnostic criteria of AFF and to present the case of AFF in the patient who received treatment with alendronate for 3.5 years.
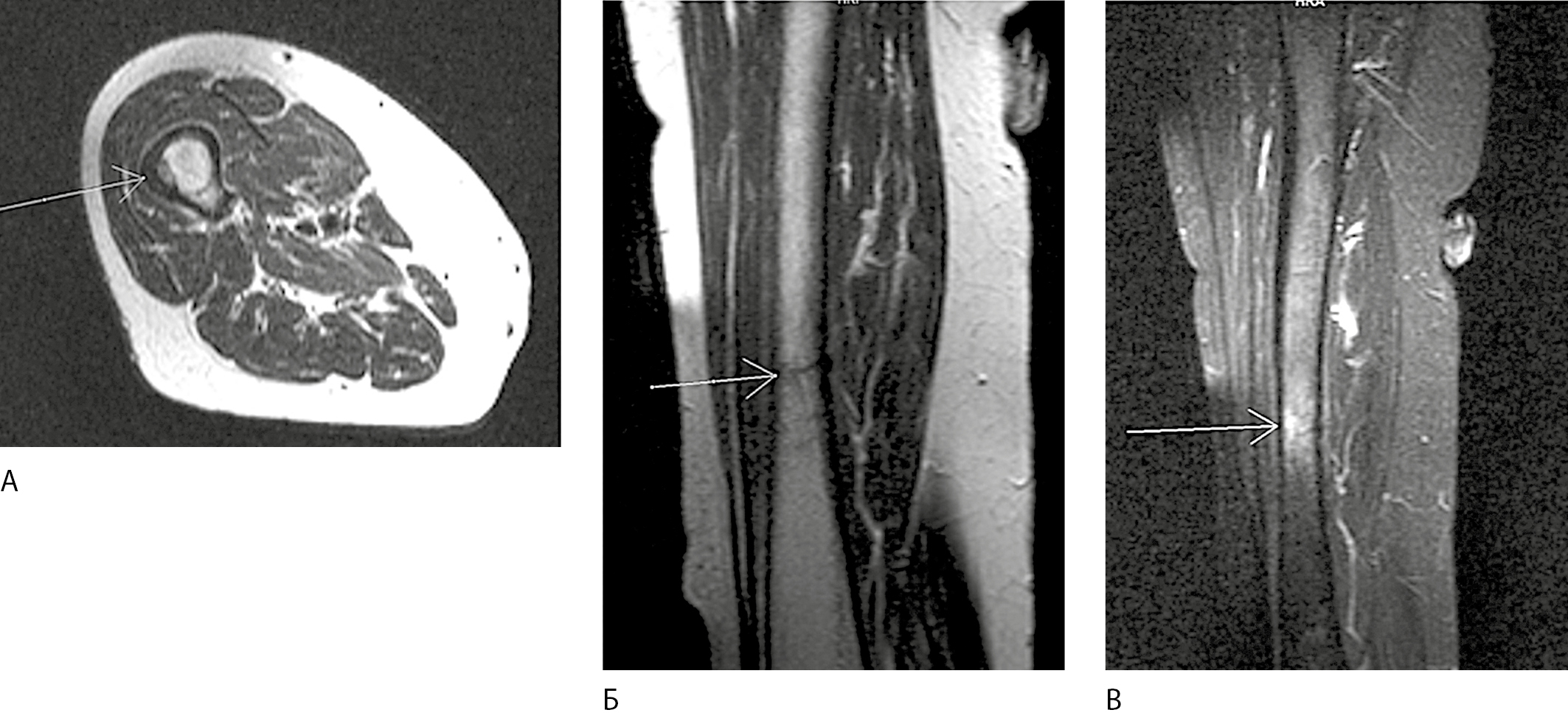
A 78-year-old woman, receiving oral bisphosphonate for severe postmenopausal osteoporosis for 3.5 years, suddenly started feeling pain in her right thigh while walking. Three months later, she had got a fracture in middle third of the right femur after falling from her standing height. According to instrumental diagnostics, this fracture had all criteria of AFF. Blocking intramedullary osteosynthesis with shafts was performed. A retrospective analysis of soft tissue magnetic resonance imaging in the area of right thigh, done before the fracture, showed the presence of undiagnosed incomplete right femur fracture in the middle third, which subsequently led to a complete fracture.
Presented clinical case demonstrates the complexity of AFF diagnostics. The purpose of the publication is to draw attention of medical specialists to the issue of this rare side effect of bisphosphonate treatment.
About the Authors
Kira E. ZotkinaRussian Federation
Olga M. Lesnyak
Russian Federation
MD, PhD, Professor
Aleksandr Yu. Kochish
Russian Federation
MD, PhD, Professor
Ivan V. Sushkov
Russian Federation
References
1. Профилактика, диагностика и лечение дефицита витамина D и кальция среди взрослого населения и у пациентов с остеопорозом. Рекомендации Российской ассоциации по остеопорозу / Под ред. О.М. Лесняк. – М.: ГЭОТАР-Медиа, 2016. [Lesnyak OM, editor. Profilaktika, diagnostika i lecheniye defitsita vitamina D i kal’tsiya sredi vzroslogo naseleniya i u patsiyentov s osteoporozom. Rekomendatsii Rossiyskoy assotsiatsii po osteoporozu. Moscow: GEOTAR-Media; 2016. (In Russ).]
2. Kanis JA, Burlet N, Cooper C, et al. European guidance for the diagnosis and management of osteoporosis in postmenopausal women. Osteoporos. Int. 2008;19(4):399-428. doi: https://doi.org/10.1007/s00198-008-0560-z
3. Schilcher J, Koeppen V, Aspenberg P, Michaëlsson K. Risk of atypical femoral fracture during and after bisphosphonate use. Acta Orthop. 2015;86(1):100-107. doi: https://doi.org/10.3109/17453674.2015.1004149
4. Toro G, Ojeda-Thies C, Calabrò G, et al. Management of atypical femoral fracture: a scoping review and comprehensive algorithm. BMC Musculoskel. Disord. 2016;17(1). doi: https://doi.org/10.1186/s12891-016-1086-8
5. Dell RM, Adams AL, Greene DF, et al. Incidence of atypical nontraumatic diaphyseal fractures of the femur. J. Bone Miner. Res. 2012;27(12):2544-2550. doi: https://doi.org/10.1002/jbmr.1719
6. Gedmintas L, Solomon DH, Kim SC. Bisphosphonates and risk of subtrochanteric, femoral shaft, and atypical femur fracture: A systematic review and meta-analysis. J. Bone Miner. Res. 2013;28(8):1729-1737. doi: https://doi.org/10.1002/jbmr.1893
7. Lee S, Yin RV, Hirpara H, et al. Increased risk for atypical fractures associated with bisphosphonate use. Fam. Pract. 2015;32(3):276-281. doi: https://doi.org/10.1093/fampra/cmu088
8. Odvina CV, Zerwekh JE, Rao DS, et al. Severely Suppressed Bone Turnover: A Potential Complication of Alendronate Therapy. J. Clin. Endocr. Metab. 2005;90(3):1294-1301. doi: https://doi.org/10.1210/jc.2004-0952
9. Lloyd AA, Gludovatz B, Riedel C, et al. Atypical fracture with long-term bisphosphonate therapy is associated with altered cortical composition and reduced fracture resistance. Proceedings of the National Academy of Sciences. 2017;114(33):8722-8727. doi: https://doi.org/10.1073/pnas.1704460114
10. Rizzoli R, Åkesson K, Bouxsein M, et al. Subtrochanteric fractures after long-term treatment with bisphosphonates: a European Society on Clinical and Economic Aspects of Osteoporosis and Osteoarthritis, and International Osteoporosis Foundation Working Group Report. Osteoporos. Int. 2010;22(2):373-390. doi: https://doi.org/10.1007/s00198-010-1453-5
11. Shane E, Burr D, Abrahamsen B, et al. Atypical Subtrochanteric and Diaphyseal Femoral Fractures: Second Report of a Task Force of the American Society for Bone and Mineral Research. J. Bone Miner. Res. 2014;29(1):1-23. doi: https://doi.org/10.1002/jbmr.1998
12. Голубев Г.Ш. Атипичные переломы бедра при длительном лечении бисфосфонатами (критический обзор литературы) // Травматология и ортопедия России. – 2013. – Т.19. – №1. – С.113-123. [Golubev GS. Atypical fractures due to long treatment with bisphosphonates (critical review). Traumatology and Orthopedics of Russia. 2013;19(1):113-123. (In Russ).] doi: https://doi.org/10.21823/2311-2905-2013--1-113-123
13. Кочиш А.Ю., Головач И.Ю. К вопросу о риске атипичных переломов бедренной кости при длительном приеме бисфосфонатов // Травматология и ортопедия России. – 2013. – Т.19. – №1.– С. 123 – 126. [Kochish AYu, Golovach IYu. K voprosu o riske atipichnykh perelomov bedrennoy kosti pri dlitel’nom priyeme bisfosfonatov. Traumatology and Orthopedics of Russia. 2013;19(1):123-126. (In Russ).]
14. Whyte MP. Atypical Femoral Fractures, Bisphosphonates, and Adult Hypophosphatasia. J. Bone Miner. Res. 2009;24(6):1132-1134. doi: https://doi.org/10.1359/jbmr.081253
15. Aspenberg P. Denosumab and atypical femoral fractures. Acta Orthop. 2013;85(1):1-1. doi: https://doi.org/10.3109/17453674.2013.859423
16. Dell RM, Adams AL, Greene DF, et al. Incidence of atypical nontraumatic diaphyseal fractures of the femur. J. Bone Miner. Res. 2012;27(12):2544-2550. doi: https://doi.org/10.1002/jbmr.1719
Supplementary files
|
|
1. Fig. 1. Illustrative sections of an MRI scan of the right thigh of patient K. dated November 9, 2017 | |
| Subject | ||
| Type | Other | |
View
(731KB)
|
Indexing metadata ▾ | |
|
|
2. Fig. 2. Radiograph of the right lower limb of patient K. on the day of transverse diaphyseal atypical fracture of the right femur, type 42A1 according to the classification of the Osteosynthesis Association, dated 04.12.2017. | |
| Subject | ||
| Type | Other | |
View
(720KB)
|
Indexing metadata ▾ | |
|
|
3. Fig. 3. Radiograph of the right thigh of patient K. 8 weeks after the intramedullary osteosynthesis of the femur with a pin with a blocker, dated January 26, 2018. | |
| Subject | ||
| Type | Other | |
View
(570KB)
|
Indexing metadata ▾ | |
Review
For citations:
Zotkina K.E., Lesnyak O.M., Kochish A.Yu., Sushkov I.V. A case of atypical femur fracture during long-term treatment with bisphosphonates in patient with postmenopausal osteoporosis. Osteoporosis and Bone Diseases. 2019;22(1):18-23. (In Russ.) https://doi.org/10.14341/osteo10286
This work is licensed under a Creative Commons Attribution-NonCommercial-NoDerivatives 4.0 International License (CC BY-NC-ND 4.0).
































