Scroll to:
Trabecular bone score for the diagnostics of osteoporosis in subjects with type 2 diabetes mellitus: a clinical case
https://doi.org/10.14341/osteo2017139-43
Abstract
Type 2 diabetes mellitus (T2DM) is associated with higher fracture risk but, better bone mineral density (BMD). Alteration of the skeletal material or microstructure may be an underlying mechanism for the discrepancy between BMD and fracture risk in diabetes. The trabecular bone score has been proposed as an indirect measurement of bone microarchitecture with the routine dual energy absorptiometry. We present a clinical case of diagnosis and treatment of osteoporosis associated with T2DM in patient with a low-trauma fracture and concomitant endocrine disorder.
For citations:
Grebennikova T.A., Belaya Zh.E. Trabecular bone score for the diagnostics of osteoporosis in subjects with type 2 diabetes mellitus: a clinical case. Osteoporosis and Bone Diseases. 2017;20(1):22-27. https://doi.org/10.14341/osteo2017139-43
Background
Type 2 diabetes mellitus (T2DM) can lead to numerous complications in target organs. Bone tissue has been included in this list recently. It was established, that T2DM is a risk factor for fractures, independent of increased BMI and increased risk of falling [1,2]. Epidemiological studies show that elderly people with T2DM have increased risk of osteoporotic fractures, and the risk of limb fractures is increased to 50-80% [3,4].
It is known that BMD determines approximately 70% of bone strength, but this parameter is usually higher in patients with T2DM, compared to the general population [7]. This paradox could be explained by the fact that BMD does not include other factors that influence bone density: trabecular microarchitecture, cortical macrogeometry and bone remodeling speed [8-10].
Trabecular bone score (TBS) – is a new tissue parameter that estimates pixel’s deviation on grey gradation scale in lumbar spine absorptiometry images [11]. TBS is associated with bone tissue microarchitecture and is an independent parameter that determines the risk of low-trauma fractures regardless of BMD [12-14]. Major cohort study revealed that TBS shows better prognostic value for fractures in patients with T2DM than BMD [15].
The FRAX algorithms are used worldwide to give the 10-year probability of fracture and to determine the need for osteoporosis treatment initiation [16-18]. However, it is based on BMD and does not consider T2DM as a cause of secondary osteoporosis, therefore underestimating risk of fractures in cohort of patients with T2DM. Nevertheless, FRAX algorithms modified by TBS can be used for evaluation of risk factors in patients with secondary osteoporosis, including T2DM.
Some experts suggest making osteoporosis in patients with T2DM an independent nosological entity called “diabetoporosis”. The need for secondary osteoporosis classification development is relevant, as pathogenesis of bone density impairment is different in T2DM. Early diagnostic criteria for treatment initiation, before the occurrence of low-trauma fractures should also be determined. According to up-to-date evidence, we can conclude that diabetoporosis is characterized by low bone metabolism, normal BMD and low TBS. Besides, it is also important to determine the best treatment options for diabetoporosis, as there were no randomized clinical trials for bone tissue quality evaluation in T2DM treated with different osteoporosis drugs.
It is worth noting that impaired BMD can be found in postmenopausal women and men aged over 50 with T2DM; as mentioned above, it is not common for diabetoporosis. In this case, sex hormone deficiency has more influence on bone tissue then glucotoxicity, which makes it more relevant to treat and evaluate this osteoporosis as primary variant complicated by T2DM. Moreover, in some cases low-trauma fractures occur in patients with T2DM and intact BMD and TBS, what illustrate the need for search of new bone remodeling biomarkers [19], as well as development of new methods of bone density evaluation.
In this article, we present a clinical case of patient with T2DM, low-trauma fracture and concomitant endocrine disorder as a description of diabetoporosis.
Description of the case
Patient L., 63 years old, admitted to the neuroendocrinology and bone diseases department of Endocrinology Research Centre with complaints of right lower leg pain at rest and during walking, frequent falling (5 times per year) and hyperglycemia (16-28 mmol/l).
According to medical history, secondary to obesity T2DM was diagnosed in 1999 in the age of 45 during routine check-up glucose level on diagnosis - 7 mmol/l. Since 2003 patient has been treated with oral diabetes medications in different combinations including combination with long-acting insulin. Glycemic self- control was not sufficient, 1-2 times per week. Glycemia hasn’t been checked since summer of 2016. According to medical documentation, diabetes has never been compensated (from 2014 to 2016 HbА1c 8.0-8.5%).
In 2008 pre-proliferative diabetic retinopathy was diagnosed, in 2015 patient underwent retinal photocoagulation surgery due to retinopathy progression to proliferative stage. In 2014 neuroischemic form of diabetic foot syndrome was revealed with necrotic ulcers development on the right foot 1 finger with 1-2 fingers amputation followed.
The patient also has been suffering from hypertension since the age of 30 with blood pressure elevation up to 190/100 mmHg. In 2008 patient also underwent upper lobectomy as tuberculosis treatment. In 2015 she underwent extrafascial thyroidectomy as a treatment of papillary thyroid cancer verified by histology. After surgery patient received hormone replacement therapy by levothyroxine sodium.
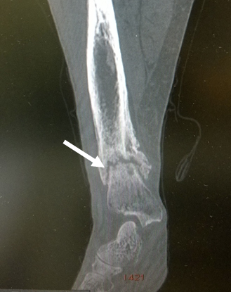
In June 2016 patient got right tibia fracture after fall from own height (fig.1), later patient suffered from restricted mobility because of fracture nonunion. She has been moving only by wheelchair for 3 months after fracture. Patient was able to move freely 7 months after the fracture. Neither phosphorus and calcium levels, nor BMD was measured.
Figure 1. МSCТ of the right femur: right tibia fracture in the lower third with signs of callus formation.
On examination in April 2017: height 173 cm, weight 98 kg, BMI=32.7 kg/m2. Right foot limping was noted while walking, patient moved freely with a walking stick, but could move without it in the room.
At admission to hospital diabetes decompensation was registered (HbA1c=11.6%). Diabetes therapy was corrected, patient got basal-bolus insulin therapy with long-acting and fast-acting insulin and glycemic control was achieved. Patient underwent complex examination for diabetes complications: both eyes proliferative diabetic retinopathy was verified, no signs of diabetic nephropathy were found (GFR level 87=ml/min/1.73m2) urine sampling for microalbuminuria was not taken because of acute condition of chronic cystitis.
For dynamic control of right leg’s fracture nonunion computer tomography was performed, slight improvement for the last 2 months was registered. Leg’s veins ultrasound duplex scaning showed neither pathologic changes nor blood flow abnormality. Patient was consulted in «Diabetic foot» cabinet, right foot off-loading and ankle orthoses for 2-3 months were recommended until fool consolidation.
Regarding primary hypothyroidism as aresult of surgical of thyroid papillary cancer, ultrasound examination was performed: no data for cancer recurrence was found. Thyroglobulin level was normal. TSH elevation was registered, levothyroxine sodium dosage was increased.
One of the hospitalization aims for the patient with early onset of hypertension, obesity, T2DM and low-trauma fracture was ruling out endogenous hypercortisolism. Free salivary cortisol elevation up to 12,4 nmol/l (0,5-9,4) was marked, nevertheless 1 mg Dexamethasone suppression test was positive and urinal free cortisol level was normal. According up-to-date guidelines [20] endogenous hypercortisolism was excluded.
Among all patient’s severe diseases the one that reduces quality of life mostly was right tibia fracture. That’s why it was important to examine the bone system and mineral metabolism as well as to estimate the probability of new fractures.
To estimate the 10-years probability of fractures important data was collected (tab 1.) and FRAX tool was used. Because of the low-trauma fracture in previous medical history, MSCT of the spine was performed and osteoporotic vertebral fractures were excluded. Dual-energy X-ray absorptiometry of lumbar spine, femur’s neck showed no BMD impairment (tab. 2). Nevertheless low L1-L4 TBS=1,186 level (fig 2) was registered, that reflect high risk of new low-trauma fractures. As the result, with BMD and TBS data added, the FRAX tool showed 0,6% risk of femur fracture and 25% risk of general fractures. Considering low-trauma tibia fracture in previous medical history, the need for osteoporosis treatment in this patient becomes apparent.
Figure 2. Trabecular bone score of patient L.: despite of the fact that lumbar spine BMD was normal (T-score 0.3), patient had defective microarchitecture with TBS 1.186 and T-score -3.1 in that region (L1-L4).
Table 1. Osteoporosis risk factors in Patient L.
|
Risk factor |
Presence |
|
Previous Fracture |
Yes |
|
Mother Fractured Hip |
Yes |
|
Current Smoking |
No |
|
Glucocorticoids |
No |
|
Rheumatoid arthritis |
No |
|
Secondary osteoporosis1 |
No |
|
Alcohol 3 or more units/day |
No |
1Including type 1 (insulin-dependent) diabetes mellitus, osteogenesis imperfecta, untreated long-standing hyperthyroidism, hypogonadism or premature menopause (<45 years), chronic malnutrition, or malabsorption and chronic liver disease.
Table 2. Absorptiometry BMD results
|
Region |
Т-score |
|
L1-L4 |
0,3 |
|
Neck |
-0,4 |
|
Total hip |
0 |
Laboratory examination showed decreased levels of bone remodeling markers (osteocalcin) and vitamin D (tab. 3). Serum calcium level was close to lower limit of normal (tab. 3), parathyroid hormone (PTH) was decreased to 10,42 pg/ml (15-65), what indicated postoperative hypoparathyroidism after thyroidectomy with compensatory PTH synthesis by the rest parathyroid glands. Taking into account low bone turnover and the risk of hypocalcaemia, bisphosphonates and denosumab were contraindicated. Anabolic therapy by teriparatide (1-34 PTH fragment) was the one and only possible option in this case.
Before osteoporosis treatment initiation, therapeutic dose of cholecalciferol was prescribed to compensate vitamin D deficiency. After 10 days of teriparatide treatment 20 mcg per day, osteocalcin level hasn’t been changed (tab.3) as we also can see in postmenopausal osteoporosis treatment. This could be explained by the fact, that bone remodeling impairment in T2DM is charactarised by low bone metabolism speed and marked improvement of bone formation in the first months could not be expected.
Patient was recommended to continue vitamin D therapy in addition to teriparatide treatment 20 mcg/day for as long as it could possibly be recommended according to the instruction (for 2 years).
Table 3. Phosphorus and calcium metabolism parameters
|
Parameters, mmol/l |
Result |
Normal range |
|
Calcium, mmol/l |
2,21 |
2,2-2,55 |
|
Ionised calcium, mmol/l |
1,06 |
1,03-1,29 |
|
Phosphorus, mmol/l |
1,35 |
0,74-1,52 |
|
Parathyroid hormone, pg/ml |
10,42 |
15-65 |
|
Vitamin D, ng/ml |
16 |
30-100 |
|
C-terminal telopeptide of type I collagen, ng/ml |
0,13 |
0,01-0,69 |
|
Osteocalcin, ng/ml |
7,29 |
11-43 |
|
Osteocalcin level 10 days after teriparatide treatment, ng/ml |
6,67 |
11-43 |
Discussion
The term "Diabetoporosis" was suggested by Ferrari S. in 2015 as a special type of BMD impairment in T2DM [21]. Ferrari S. suggests that the cause of such microarchitecture changes in patients with hyperglycemia and insulin resistance are the direct damaging influence of glycation end product on collagenous tissue, low bone remodeling speed, oxygen stress, and interaction between osteogenesis molecular mechanisms and glucose metabolism regulation. The correlation between the glycemic control level and TBS was shown for the first time in Dhaliwal research [22]. Therefore, in patients with T2DM the TBS plays an important role as low-trauma fractures predictor as it reflects the bone tissue microarchitecture [15, 23]. The FRAX algorithm with TBS correction, predicts law-trauma fractures better in patients with T2DM [24].
Decreased bone resorption (C-terminal telopeptide of type I collagen) [25] and bone formation markers (osteospecific alkaline phosphatase, osteocalcin, amino-terminal propeptide of type I collagen) could register low bone metabolism specific for diabetoporosis [26-28]. The level of PTH in this disease is also reduced by 20-50% [25-27]. A low rate of bone remodeling is considered by some researchers as an independent risk factor of low-trauma fractures. [27, 29]
This clinical case shows that patients with T2DM tend to have not only higher risk of fractures but also fracture consolidation impairment [30]. Generally we expect to see high bone remodeling speed in the site of fracture in healthy people. Nevertheless, in “diabetoporosis” with basic low bone metabolism insufficient osteoclast’s activity is observed, what leads to less effective utilization of damaged bone and cartilage formed during endochondral ossification. As the result, we see pour local stimulation of new bone formation and false callus development [30]. Experimental study on mice with T2DM and femur fracture shown that PTH-medication infusion could lower harmful effect of T2DM on bone metabolism [31].
Antiresorptive medications (bisphosphonates, denosumab) and anabolic therapy (teriparatide) have proved undoubtedly effective in treatment of postmenopausal and senile osteoporosis [32-34], but the study for diabetoporosis treatment with this medications hasn’t been conducted. Perhaps, teriparatide is a treatment of choice because of suppressed bone formation, decreased bone remodeling speed and callus formation impairment [35]. Novel medication application, such as sclerostin antibodies, appears to be interesting. Apart from huge anabolic action via canonical Wnt/β-catenin signaling pathway stimulation, it also has antiresorptive effect [36]. These medications (romosozumab and blosozumab) are going through different phases of clinical trials.
Conclusion
Taking into consideration high risk of low-trauma fractures in T2DM and insufficient sensitivity of present diagnostic methods (FRAX, DXA), the need for new methods development for early diagnosis for patient with T2DM and high predisposition to fractures. For this category of patients TBS measuring in DXA should be widely implemented and added to FRAX tool. Further studies to evaluate osteoporosis treatment efficacy in patients with T2DM are needed, along with investigation of pathophysiological bone tissue changes specific for T2DM.
Additional information
Conflict of interests. Authors declare no explicit and potential conflicts of interests associated with the publication of this article.
The patient's informed consent. The patient provided his informed consent for the publication of this case report.
References
1. Leslie WD, Rubin MR, Schwartz AV, Kanis JA. Type 2 diabetes and bone. J Bone Miner Res. 2012;27(11):2231-2237. doi: 10.1002/jbmr.1759
2. Ялочкина Т.О., Белая Ж.Е., Рожинская Л.Я., и др. Переломы костей при сахарном диабете 2 типа: распространенность и факторы риска // Сахарный диабет. - 2016. - Т. 19. - №5. - C. 359-365. [Yalochkina TO, Belaya JE, Rozhinskaya LY, et al. Bone fractures in patients with type 2 diabetes mellitus: prevalence and risk factors. Diabetes mellitus. 2016;19(5):359-365. (In Russ.)] doi: 10.14341/dm7796
3. Schwartz AV, Sellmeyer DE, Ensrud KE, et al. Older Women with Diabetes Have an Increased Risk of Fracture: A Prospective Study. J Clin Endocr Metab. 2001;86(1):32-38. doi: 10.1210/jcem.86.1.7139
4. Bonds DE, Larson JC, Schwartz AV, et al. Risk of Fracture in Women with Type 2 Diabetes: the Women’s Health Initiative Observational Study. J Clin Endocr Metab. 2006;91(9):3404-3410. doi: 10.1210/jc.2006-0614
5. NIH Consensus Development Panel on Osteoporosis Prevention, Diagnosis, and Therapy. Osteoporosis Prevention, Diagnosis, and Therapy. JAMA. 2001;285(6):785–795. doi:10.1001/jama.285.6.785
6. Kanis JA, McCloskey EV, Johansson H, et al. European guidance for the diagnosis and management of osteoporosis in postmenopausal women. Osteoporos Int. 2012;24(1):23-57. doi: 10.1007/s00198-012-2074-y
7. Vestergaard P. Discrepancies in bone mineral density and fracture risk in patients with type 1 and type 2 diabetes—a meta-analysis. Osteoporos Int. 2006;18(4):427-444. doi: 10.1007/s00198-006-0253-4
8. Brandi ML. Microarchitecture, the key to bone quality. Rheumatology. 2009;48(suppl 4):iv3-iv8. doi: 10.1093/rheumatology/kep273
9. Ulivieri FM, Silva BC, Sardanelli F, et al. Utility of the trabecular bone score (TBS) in secondary osteoporosis. Endocrine. 2014;47(2):435-448. doi: 10.1007/s12020-014-0280-4.
10. Link TM, Majumdar S. Current diagnostic techniques in the evaluation of bone architecture. Current Osteoporosis Reports. 2004;2(2):47-52. doi: 10.1007/s11914-004-0003-5
11. Цориев Т.Т., Белая Ж.Е., Мельниченко Г.А. Трабекулярный костный индекс–неинвазивный метод оценки качества костной ткани на основании рутинной двухэнергетической денситометрии. Перспективы использования в клинической практике // Альманах клинической медицины. – 2016. – Т. 44. – №. 4. – С. 462-476. [Tsoriev TT, Belaya ZE, Mel'nichenko GA. Trabecular Bone Score – A non-Invasive Analytical Method to Evaluate Bone Quality Based on Routine Dual-Energy Absorptiometry. Perspectives of Its Use in Clinical Practice. Almanac of Clinical Medicine. 2016;44(4):462-476. (In Russ.)] doi: 10.18786/2072-0505-2016-44-4-462-476
12. Bousson V, Bergot C, Sutter B, et al. Trabecular bone score (TBS): available knowledge, clinical relevance, and future prospects. Osteoporos Int. 2011;23(5):1489-1501. doi: 10.1007/s00198-011-1824-6
13. Roux JP, Wegrzyn J, Boutroy S, et al. The predictive value of trabecular bone score (TBS) on whole lumbar vertebrae mechanics: an ex vivo study. Osteoporos Int. 2013;24(9):2455-2460. doi: 10.1007/s00198-013-2316-7
14. Pothuaud L, Carceller P, Hans D. Correlations between grey-level variations in 2D projection images (TBS) and 3D microarchitecture: Applications in the study of human trabecular bone microarchitecture. Bone. 2008;42(4):775-787. doi: 10.1016/j.bone.2007.11.018
15. Leslie WD, Aubry-Rozier B, Lamy O, Hans D. TBS (Trabecular Bone Score) and Diabetes-Related Fracture Risk. J Clin Endocr Metab. 2013;98(2):602-609. doi: 10.1210/jc.2012-3118
16. Kanis JA, Johansson H, Oden A, et al. Worldwide uptake of FRAX. Archives of Osteoporosis. 2014;9(1). doi: 10.1007/s11657-013-0166-8
17. McCloskey EV, Odén A, Harvey NC, et al. Adjusting Fracture Probability by Trabecular Bone Score. Calcif Tissue Int. 2015;96(6):500-509. doi: 10.1007/s00223-015-9980-x
18. Мельниченко Г.А., Белая Ж.Е., Рожинская Л.Я., и др. Краткое изложение клинических рекомендаций по диагностике и лечению остеопороза российской ассоциации эндокринологов // Остеопороз и остеопатии. - 2016. - Т. 19. - №3. - C. 28-36. [Melnichenko GA, Belaya ZE, Rozhinskaya LY, et al. Summary of Clinical Guidelines for the Diagnosis and Treatment of Osteoporosis of the Russian Association of Endocrinologists. Osteoporosis and bone diseases. 2016;19(3):28-36. (In Russ.)] doi: 10.14341/osteo2016328-36
19. Гребенникова Т.А., Белая Ж.Е., Рожинская Л.Я., и др. Эпигенетические аспекты остеопороза // Вестник Российской академии медицинских наук. – 2015. – Т. 70. – №. 5. [Grebennikova TA, Belaya ZE, Rozhinskaya LY, et al. Epigenetic Aspects of Osteoporosis. Annals of the Russian academy of medical sciences. 2015;70(5):541. (In Russ.)] doi: 10.15690/vramn.v70.i5.1440
20. Мельниченко Г.А., Дедов И.И., Белая Ж.Е., и др. Болезнь Иценко-Кушинга: клиника, диагностика, дифференциальная диагностика, методы лечения // Проблемы Эндокринологии. - 2015. - Т. 61. - №2. - C. 55-77. [Melnichenko GA, Dedov II, Belaya ZE, et al. Cushing’s disease: the clinical features, diagnostics, differential diagnostics, and methods of treatment. Problems of Endocrinology. 2015;61(2):55. (In Russ.)] 10.14341/probl201561255-77
21. Ferrari S. Pathophysiology of diabetoporosis. Endocrine Abstracts. 2015. doi: 10.1530/endoabs.37.S17.2
22. Dhaliwal R, Cibula D, Ghosh C, et al. Bone quality assessment in type 2 diabetes mellitus. Osteoporos Int. 2014;25(7):1969-1973. doi: 10.1007/s00198-014-2704-7
23. Hans D, Goertzen AL, Krieg M-A, Leslie WD. Bone microarchitecture assessed by TBS predicts osteoporotic fractures independent of bone density: The manitoba study. J Bone Miner Res. 2011;26(11):2762-2769. doi: 10.1002/jbmr.499
24. Choi YJ, Ock SY, Chung Y-S. Trabecular Bone Score (TBS) and TBS-Adjusted Fracture Risk Assessment Tool are Potential Supplementary Tools for the Discrimination of Morphometric Vertebral Fractures in Postmenopausal Women With Type 2 Diabetes. J Clin Densitom. 2016;19(4):507-514. doi: 10.1016/j.jocd.2016.04.001
25. Dobnig H, Piswanger-Sölkner JC, Roth M, et al. Type 2 Diabetes Mellitus in Nursing Home Patients: Effects on Bone Turnover, Bone Mass, and Fracture Risk. J Clin Endocr Metab. 2006;91(9):3355-3363. doi: 10.1210/jc.2006-0460
26. Ardawi M-SM, Akhbar DH, AlShaikh A, et al. Increased serum sclerostin and decreased serum IGF-1 are associated with vertebral fractures among postmenopausal women with type-2 diabetes. Bone. 2013;56(2):355-362. doi: 10.1016/j.bone.2013.06.029
27. Yamamoto M, Yamaguchi T, Nawata K, et al. Decreased PTH Levels Accompanied by Low Bone Formation Are Associated with Vertebral Fractures in Postmenopausal Women with Type 2 Diabetes. J Clin Endocr Metab. 2012;97(4):1277-1284. doi: 10.1210/jc.2011-2537
28. Gaudio A, Privitera F, Battaglia K, et al. Sclerostin Levels Associated with Inhibition of the Wnt/β-Catenin Signaling and Reduced Bone Turnover in Type 2 Diabetes Mellitus. J Clin Endocr Metab. 2012;97(10):3744-3750. doi: 10.1210/jc.2012-1901
29. Rubin MR, Patsch JM. Assessment of bone turnover and bone quality in type 2 diabetic bone disease: current concepts and future directions. Bone Research. 2016;4:16001. doi: 10.1038/boneres.2016.1
30. Blakytny R, Spraul M, Jude EB. Review: The Diabetic Bone: A Cellular and Molecular Perspective. The International Journal of Lower Extremity Wounds. 2011;10(1):16-32. doi: 10.1177/1534734611400256
31. Hamann C, Picke A-K, Campbell GM, et al. Effects of Parathyroid Hormone on Bone Mass, Bone Strength, and Bone Regeneration in Male Rats With Type 2 Diabetes Mellitus. Endocrinology. 2014;155(4):1197-1206. doi: 10.1210/en.2013-1960
32. Белая ЖЕ, Рожинская ЛЯ, Мельниченко ГА. Ибандронат (Бонвива) - новые возможности в лечении остеонороза: повышение приверженности к терапии - оптимизация исходов лечения // Остеопороз и остеопатии. – 2006. – Т. 9. – №3. – C. 23-30. [Belaya ZE, Rozhinskaya LY, Mel’nichenko GA. Ibandronat (Bonviva) - novye vozmozhnosti v lechenii osteonoroza: povyshenie priverzhennosti k terapii - optimizatsiya iskhodov lecheniya. Osteoporosis and bone diseases. 2006;9(3):23-30. (In Russ.)] doi: 10.14341/osteo2006323-30
33. Белая Ж.Е., Рожинская Л.Я. Новые направления в терапии остеопороза – применение моноклональных человеческих антител к RANKL (Деносумаб). // Остеопороз и остеопатии. – 2011. – Т. 14. – №2. – C. 23-26. [Belaya ZE, Rozhinskaya LY. Novye napravleniya v terapii osteoporoza - primenenie monoklonal'nykh chelovecheskikh antitel k RANKL (Denosumab). Osteoporosis and bone diseases. 2011;14(2):23-26. (In Russ.)] doi: 10.14341/osteo2011223-26
34. Белая Ж.Е., Рожинская Л.Я. Анаболическая терапия остеопороза. Терипапаратид: эффективность, безопасность и область применения // Остеопороз и остеопатии. – 2013. – Т. 16. – №2. – C. 32-40. [Belaya ZE, Rozhinskaya LY. Anabolicheskaya terapiya osteoporoza. Teripaparatid: effektivnost', bezopasnost' i oblast' primeneniya. Osteoporosis and bone diseases. 2013;16(2):32-40. (In Russ.)]
35. Gonnelli S, Caffarelli C, Giordano N, Nuti R. The prevention of fragility fractures in diabetic patients. Aging Clin Exp Res. 2014;27(2):115-124. doi: 10.1007/s40520-014-0258-3
36. Гребенникова T.А., Белая Ж.Е., Рожинская Л.Я., Мельниченко Г.А. Канонический сигнальный путь Wnt/β-катенин: от истории открытия до клинического применения. // Терапевтический архив. – 2016. – Т. 88. – №. 10. – С. 74-81. [Grebennikova TA, Belaya ZE, Rozhinskaya LY, Melnichenko GA. The canonical Wnt/β-catenin pathway: From the history of its discovery to clinical application. Ter Arkh. 2016;88(10):74. (In Russ.)] doi: 10.17116/terarkh201688674-81
About the Authors
Tatiana A. GrebennikovaEndocrinology Research Centre
Russian Federation
Zhanna E. Belaya
Endocrinology Research Centre
Russian Federation
MD, PhD, Professor
Supplementary files
|
|
1. Figure 1. МSCТ of the right femur: right tibia fracture in the lower third with signs of callus formation. | |
| Subject | ||
| Type | Исследовательские инструменты | |
View
(260KB)
|
Indexing metadata ▾ | |
|
|
2. Figure 2. Trabecular bone score of patient L.: despite of the fact that lumbar spine BMD was normal (T-score 0.3), patient had defective microarchitecture with TBS 1.186 and T-score -3.1 in that region (L1-L4). | |
| Subject | ||
| Type | Исследовательские инструменты | |
View
(264KB)
|
Indexing metadata ▾ | |
Review
For citations:
Grebennikova T.A., Belaya Zh.E. Trabecular bone score for the diagnostics of osteoporosis in subjects with type 2 diabetes mellitus: a clinical case. Osteoporosis and Bone Diseases. 2017;20(1):22-27. https://doi.org/10.14341/osteo2017139-43
JATS XML
This work is licensed under a Creative Commons Attribution-NonCommercial-NoDerivatives 4.0 International License (CC BY-NC-ND 4.0).
































