Перейти к:
Синдром Маккьюна–Олбрайта–Брайтцева: описание трех клинических случаев, особенности диагностики и тактики лечения
https://doi.org/10.14341/osteo12932
Аннотация
Синдром МакКьюна–Олбрайта–Брайцева (МОБ) – редкое заболевание, обусловленное спорадической постзиготической мутацией в гене GNAS, который кодирует альфа-субъединицу Gs сигнального белка. Постоянная активация Gs белка приводит к неконтролируемому образованию внутриклеточного циклического аденозинмонофосфата, что выражается в автономной гиперфункции органов-мишеней. Предполагаемая распространенность заболевания – 1/100 000 и 1/1 000 000. Впервые синдром МакКьюна–Олбрайта был описан в 1936 г. как триада симптомов – фиброзная дисплазия (ФД) костей, появление на коже пятен цвета «кофе с молоком» и преждевременное половое развитие. Однако в настоящее время известно, что фенотип заболевания гораздо сложнее. Это обусловлено сроком возникновения постзиготной мутации в гене GNAS, что определяет широкий спектр клинических проявлений и создает определенные трудности в диагностике данного синдрома. Например, синдром МОБ может сопровождаться развитием различных эндокринопатий, таких как акромегалия, гипертиреоз, синдром Кушинга, гипофосфатемический рахит, а также поражением других органов и систем: патологией желудочно-кишечного тракта, гепатобилиарной и сердечно-сосудистой систем. В настоящей статье представлены 3 поздно диагностированных клинических случая синдрома МОБ у пациентов с наличием «кофейных» пятен, ФД и многоузловым зобом; в двух случаях в сочетании с акромегалией. Рассмотрены возможности медикаментозной терапии акромегалии при синдроме МОБ, а также опыт применения препаратов группы бисфосфонатов для лечения ФД. Знание клинических проявлений синдрома МОБ, своевременной диагностики и возможностей медикаментозной терапии в лечении пациентов с этим заболеванием имеет важное прогностическое значение для улучшения качества жизни пациентов.
Для цитирования:
Рожинская Л.Я., Сардаева Д.Г., Калинченко Н.Ю., Чуканова А.М., Тарбаева Н.В., Бурякина С.А., Владимирова В.П., Белая Ж.Е., Мельниченко Г.А. Синдром Маккьюна–Олбрайта–Брайтцева: описание трех клинических случаев, особенности диагностики и тактики лечения. Остеопороз и остеопатии. 2021;24(3):19-32. https://doi.org/10.14341/osteo12932
For citation:
Rozhinskaya L.Ya., Sardaeva D.G., Kalinchenko N.Y., Chukanova A.M., Tarbaeva N.V., Buryakina S.A., Vladimirova V.P., Belaya Z.E., Melnichenko G.A. McCune–Albright syndrome: description of three clinical cases, features of diagnostics and treatment. Osteoporosis and Bone Diseases. 2021;24(3):19-32. (In Russ.) https://doi.org/10.14341/osteo12932
ВВЕДЕНИЕ
Синдром МакКьюна–Олбрайта–Брайцева (МОБ) возникает в результате активирующей мутации в гене GNAS, расположенном на q плече 20 хромосомы в позиции 13.3. Локус гена GNAS — это сложный импринтированный ген, который использует несколько промотеров для производства продуктов гена, в составе которого имеются альтернативные первые экзоны для производства различных продуктов гена, в том числе экспрессируемая во многих тканях альфа-субъединица Gs белка, главной функцией которого является опосредованная через связь гормона с рецептором клетки продукция внутриклеточного циклического аденозинмонофосфата (цАМФ) [1][2]. ЦАМФ, в свою очередь, активирует протеинкиназу А, которая переводит транскрипционный белок CREB в активную фосфорилированную форму, что обеспечивает транскрипцию генов и приводит к реализации эффектов гормона. Процесс прерывается самой альфа-субъединицей Gs белка, которая обладает ГТФазной (гидролиз гуанозинтрифосфата) активностью и переводит указанный комплекс в неактивную форму [3–4].
При синдроме МОБ активирующие миссенс-мутации чаще всего определяются в двух аминокислотных остатках — arg201 (более 95% мутаций) и gnl227 (менее 5%). Мутации приводят к потере ГТФазной активности альфа-субъединицы Gs белка, происходят постоянная активация рецептора клетки и неконтролируемое образование цАМФ внутри клетки [2][5]. Эти события приводят к гиперпродукции гормона в клетках, клинической манифестации различных эндокринопатий с гиперфункцией и повышением пигментации кожи [2]. В костной ткани постоянная активация рецептора и избыток цАМФ усиливают пролиферацию незрелых стромальных клеток с нарушенной способностью дифференцироваться в зрелые остеобласты, что в конечном итоге приводит к замещению нормальной костной структуры фиброзной тканью и образованию очагов деструкции в виде кист [6–8].
Диагноз фиброзной дисплазии (ФД) или синдрома МОБ устанавливают только после оценки двух критериев: степени поражения костной ткани и наличия внескелетных проявлений. Существуют две формы ФД — монооссальная форма, когда фиброзная ткань замещает нормальную костную ткань в одной кости, и полиоссальная форма — с поражением сразу нескольких костей. Синдром МОБ — это ФД, чаще полиоссальной формы, с одним или более внескелетных проявлений [1]. Клиническими проявлениями ФД являются частые патологические переломы костей, деформации костей и суставов, боль после минимальной травмы, а также компрессии нервов [5][9].
К внескелетным проявлениям синдрома МОБ относится очаговая гиперпигментация кожи в виде пятен «кофе с молоком» — самое раннее проявление синдрома МОБ, обусловленное гиперпродукцией меланина в мутантных меланоцитах [5]. При синдроме МОБ пятна гиперпигментации появляются с рождения, имеют неровные зазубренные края, напоминают по форме «побережье штата Мэн», как правило, не пересекают тело по средней линии, следуют линиям Блашко. Однако наличие пятен цвета «кофе с молоком» не всегда является признаком синдрома МОБ, необходимо проводить дифференциальную диагностику с нейрофиброматозом I типа, при котором очаговая гиперпигментация имеет ровные края, округлую форму и увеличивается по мере роста ребенка [3].
Гиперактивность аденилатциклазной системы при синдроме МОБ обуславливает другие внескелетные проявления МОБ.
Преимущественно у девочек в 85% случаев синдром МОБ сочетается с гонадотропиннезависимым преждевременным половым развитием (ППР). По лабораторным исследованиям выявляют повышенный уровень эстрадиола в сочетании с допубертатными уровнями гонадотропных гормонов гипофиза — лютеинизирующего и фолликулостимулирующего (ЛГ и ФСГ), что свидетельствует об автономной гиперфункции клеток гонад. При УЗИ органов малого таза визуализируются образования в яичниках — эстрогенпродуцирующие односторонние или двусторонние кисты [5]. Клиническими проявлениями являются: постоянное или волнообразное увеличение молочных желез, нерегулярные маточные кровотечения, ускорение темпов роста и костного созревания по сравнению со сверстниками [1]. Иногда гонадотропиннезависимое ППР может быть единственным проявлением синдрома МОБ, поэтому таким пациентам следует провести дополнительные исследования для исключения ФД костей и других эндокринопатий [3].
Гиперактивность аденилатциклазной системы при синдроме МОБ обуславливает и другие внескелетные проявления МОБ, кроме ППР, такие как гипертиреоз, акромегалия, синдром Кушинга, гипофосфатемический рахит [7]. Тиреоциты, содержащие мутантные аллели гена GNAS, приобретают автономную активность, что приводит к развитию изменений щитовидной железы по типу многоузлового зоба с тиреотоксикозом или без него. Гипофосфатемический рахит обусловлен синтезом фактора роста фибробластов 23 (FGF23) незрелыми клетками, а также измененными остеобластами и остеоцитами в очагах ФД, тем самым увеличивая ее прогрессирование. Синдром Кушинга возникает вследствие двустороннего поражения надпочечников из-за автономной активности комплекса G-белок-альфа в фетальной коре надпочечников [1][5], а иногда может быть центрального генеза.
Акромегалия сочетается с синдромом МОБ в 10–20% случаев. Акромегалия в сочетании с синдромом МОБ отличается от «классической» акромегалии по выраженности симптомов и выбору оптимального лечения [10]. Акромегалия в раках МОБ диагностируется в более молодом возрасте (средний возраст диагностики акромегалии — 24,4 года). Как известно, хирургическое лечение является методом выбора при «классической» акромегалии, тогда как хирургическое лечение акромегалии у пациентов с синдромом МОБ часто не представляется возможным ввиду выраженной ФД костей черепа, что сопряжено с высокими рисками оперативного вмешательства и снижением вероятности радикального удаления аденомы гипофиза [10]. В связи с чем оптимальным вариантом лечения акромегалии у пациентов с синдромом МОБ является комбинированная медикаментозная терапия аналогами соматостатина и мультилигандным антагонистом рецепторов гормона роста — пегвисомантом. Лучевая терапия пациентам с синдромом МОБ не показана ввиду гиперактивности клеток, что при воздействии лучевой терапии может привести к развитию остеосаркомы [4][9].
В настоящей статье представлены 3 клинических случая, демонстрирующих важность своевременной диагностики синдрома МОБ, а также возможности медикаментозной терапии, которые могут улучшить качество жизни пациентов с этим заболеванием.
ОПИСАНИЕ КЛИНИЧЕСКИХ СЛУЧАЕВ
Клинический случай №1
Пациентка М., 53 года, обратилась в отделение нейроэндокринологии и остеопатий ФГБУ «НМИЦ эндокринологии» Минздрава России с жалобами на периодически возникающие головные боли, боли в поясничной области, в суставах нижних конечностей, онемение пальцев рук.
Анамнез заболевания
Считает себя больной с 6 лет, когда впервые возникли сильные боли в левом бедре. При обследовании выявлен патологический перелом 2/3 левого бедра. Выполнено консервативное лечение. В возрасте 8 лет впервые выставлен диагноз фиброзной остеодистрофии левого бедра. С 16 лет стали беспокоить боли в левом голеностопном суставе, отечность. Через год — усиление болей в левом бедре, при обследовании — повторный патологический перелом левого бедра. Выполнены хирургические вмешательства, в том числе костная пластика вертельной области левого бедра трансплантатом из левой подвздошной кости. В 44 года произведен артродез левого голеностопного сустава.
При компьютерной томографии (КТ) пазух носа выявлено объемное образование в обеих верхнечелюстных пазухах. По результатам биопсии — ФД верхнечелюстной кости. В 48 лет проведена операция замещения связочного дефекта левого коленного сустава биологическими синтетическими материалами. По настоящее время ходит с поддержкой в виде трости. С 48 лет пациентку также стали беспокоить боли в руках, чувство онемения в пальцах кистей. По месту жительства был поставлен диагноз туннельного синдрома, проведено иссечение левой карпальной связки.
В 50 лет в связи с эпизодами гипергликемии натощак до 7,75 ммоль/л пациентка обратилась к эндокринологу по месту жительства. При обследовании был установлен диагноз акромегалии: инсулиноподобный фактор роста 1 (ИФР-1) — 1553 нг/мл (87–238), соматотропный гормон — 10,4 нг/мл (0–8). На МРТ головного мозга — микроаденома гипофиза. Пациентке инициирована терапия октреотидом с повышением дозы препарата до максимально разрешенной в РФ — 30 мг октреотида внутримышечно 1 раз в 28 дней, дополнительно назначен берголак 1 таблетка в неделю, однако за 2 года лечения ремиссию установить не удалось. На фоне терапии ИФР-1 — 439 нг/мл (87–238).
Из анамнеза известно, что менархе с 10 лет, менструации регулярны до настоящего времени, беременности 3, роды 1-е. Пятна «кофе с молоком» на теле с рождения.
При объективном осмотре в отделении: рост 171 см, вес 67 кг, индекс массы тела (ИМТ) 22,9 кг/м2, артериальное давление (АД) 110/70 мм рт. ст., частота сердечных сокращений (ЧСС) 85 в минуту. Status localis: вальгусная деформация левого коленного сустава, левого голеностопного сустава, пальцев правой стопы. Пятно цвета «кофе с молоком» на коже левой ягодицы (рис. 1 и 2).

Рис. 1. Вальгусная деформация левого коленного сустава и левого голеностопного сустава у пациентки М.

Рис. 2. Пятно цвета «кофе с молоком» на коже левой ягодицы у пациентки М.
Данные лабораторных исследований представлены в табл. 1. Кроме повышения ИФР-1 до 485,3 нг/мл, других значимых отклонений не выявлено. Данных за нарушение функции щитовидной железы, надпочечников, паращитовидных желез не обнаружено.
Таблица 1. Результаты лабораторных исследований пациентов
|
Данные лабораторных исследований/референсные значения |
Пациентка |
Пациент |
Пациентка |
|
Биохимический анализ крови |
|||
|
Креатинин, мкмоль/л (50–98) |
57 |
64,8 |
68.7 |
|
Холестерин общ., ммоль/л (3,3–5,2) |
7,81 |
4,59 |
5,8 |
|
Триглицериды, ммоль/л (0,1–1,7) |
0,81 |
1,48 |
|
|
Холестерин липопротеидов низкой плотности, ммоль/л (1,1–3) |
3,63 |
3,06 |
4,18 |
|
Холестерин липопротеидов высокой плотности, ммоль/л (1,15–2,6) |
2,89 |
1,21 |
|
|
Фосфор, ммоль/л (0,74–1,52) |
1,01 |
1,28 |
0,92 |
|
Альбумин, г/л (35–50) |
45 |
48 |
|
|
Кальций скорр. на альбумин, ммоль/л (2,15–2,55) |
2,43 |
2,23 |
2,15 |
|
Гликированный гемоглобин, % (4–6) |
6,4 |
5,2 |
5,6 |
|
Щелочная фосфатаза, Ед/л (40–150) |
66 |
180 |
73 |
|
Остеокальцин, нг/мл (11–43) |
57,21 |
211 (24–70) |
20,76 |
|
С-концевой телопептид коллагена 1 типа, нг/мл (0,3–0,57) |
0,74 |
1,76 (01–0,85) |
0,38 |
|
ОГТТ |
|||
|
Глюкоза плазмы крови 0 мин, ммоль/л (3,1–6,1) |
3,07 |
6,16 |
5,64 |
|
Глюкоза плазмы крови +120 мин, ммоль/л |
5,64 |
5,9 |
8,65 |
|
Гормональный анализ крови |
|||
|
Пролактин, мЕд/л (64–395) |
329,1 |
501,3 |
189,1 |
|
ТТГ, мМЕ/л (0,25–3,5) |
0,37 |
0,74 |
0,91 |
|
Т4 св., пмоль/л (9–19) |
12,54 |
9,15 |
13,33 |
|
ФСГ, Ед/л (1,9–11,7) |
11,8 |
6,28 |
|
|
ЛГ, Ед/л (2,6–12,1) |
10,8 |
1,92 |
|
|
Эстрадиол, пмоль/л (97–592) |
144,37 |
||
|
Тестостерон, нмоль/л (11–28,2) |
22,5 |
||
|
ИФР-1, нг/мл (51–271) |
483,5 |
379,4 (до 501) |
214,3 |
|
Т3 св., пмоль/л (2,6–5,7) |
5,3 |
3,8 |
|
|
АКТГ вечер, пг/мл (2–25,5) |
24,49 |
||
|
Кортизол слюна вечер, нмоль/л (0,5–9,65) |
3,19 |
2,8 |
|
|
Кортизол кровь вечер, нмоль/л, (64–327) |
363 (утро) |
299,4 |
|
|
Паратгормон, пг/мл (15–65) |
46,92 |
65 |
|
|
Проба на подавление уровня СТГ в ходе ОГТТ |
|||
|
СТГ 0 мин, нг/мл |
4,6 |
1,53 |
0,19 |
|
СТГ +30 мин, нг/мл |
0,11 |
||
|
СТГ +60 мин, нг/мл |
0,11 |
||
|
СТГ, +90 мин, нг/мл |
0,1 |
||
|
СТГ +2 ч, нг/мл |
0,11 |
||
|
Анализ мочи |
|||
|
Кортизол св. суточной мочи, нмоль/сут |
282 |
281,6 |
|
|
Тубулярная реабсорбция фосфатов, % (85–95) |
52,8 |
82 |
|
Данные инструментальных исследований
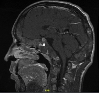
- На МРТ головного мозгавизуализирована микроаденома аденогипофиза размерами 7×6 мм (рис. 3) с инфраселлярным распространением, а также признаки диффузного утолщения левой верхнечелюстной и клиновидной пазух, клиновидной кости, латеральной стенки левой глазницы, базилярной части затылочной кости по типу фиброзной дисплазии (рис. 4).
- На рентгенограмме поясничного отдела позвоночникаопределялись очаги фиброзной дисплазии в L3, L5.
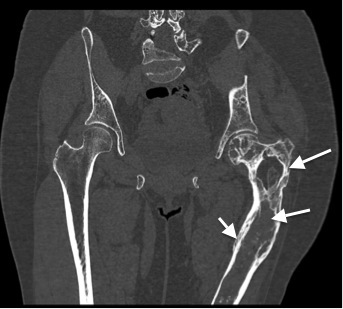
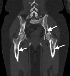
- На мультиспиральной КТ (МСКТ)левого тазобедренного и коленного суставов визуализированы зоны кистовидных перестроек и участков остеосклероза, преимущественно в области лобковой и седалищной костей, а также проксимальной трети левой бедренной кости; искривлена ось левой бедренной кости по типу «хоккейной клюшки». В структуре проксимальной и средней трети бедренной кости — две полости, содержимое которых представлено солидным содержимым, вероятно, фиброзной тканью. На уровне дистального отдела бедренной кости и проксимального отдела большеберцовой кости — множественные участки кистовидной перестройки, фрагментации костной ткани, местами с нарушением целостности и истончением кортикального слоя. КТ-картина соответствовала ФД (полиоссальная форма) костей таза слева, левой бедренной и большеберцовой костей (рис. 5–7).
- По результатам рентгеновской денситометриипоясничного отдела позвоночника и проксимального отдела бедра снижения минеральной плотности костной ткани не обнаружено (табл. 2).
- На УЗИ щитовидной железывизуализированы образования неоднородной структуры максимальными размерами до 2,6 см (EU-TIRADS 3) — в правой доле, до 1,5 см (EU-TIRADS 2) — в левой доле. По результатам лабораторных исследований — эутиреоз. Проведена тонкоигольная аспирационная биопсия образований щитовидной железы. Результат цитологического исследования пунктата щитовидной железы соответствовал классификационному критерию Bethesda I (материал неинформативный).

Рис. 3. Пациентка М. МРТ головного мозга. Микроаденома гипофиза с пара-инфраселлярным распространением.
Описание. Турецкое седло деформировано, в правой части дно турецкого седла локально углублено. Структура аденогипофиза неоднородна за счет кистозно-солидного образования в его правой части, размерами 7×6 мм. Образование распространяется в пазуху основной кости.

Рис. 4. Пациентка М. МРТ. Фиброзная дисплазия клиновидной кости.
Описание. Субтотальная обтурация пазухи основой кости. В левой верхнечелюстной пазухе, преимущественно по передней стенке, в левой клиновидной пазухе и клиновидной кости (теле и левом крыле), в задних ячейках решетчатого лабиринта, базилярной части затылочной кости (больше слева), в латеральной стенке левой глазницы, в затылочной чешуе определяется диффузное утолщение костей по типу фиброзной дисплазии, с наличием в структуре кистозных включений.

Рис. 5. Пациентка М. Очаги фиброзной дисплазии в крыле подвздошной кости и в межвертельной области бедренной кости.

Рис. 6. Пациентка М. МСКТ таза, 3D-реконструкция. Полиоссальная форма фиброзной дисплазии. Зоны кистовидных перестроек (стрелки) в костях таза и левой бедренной кости, преимущественно расположенных в области подвздошной, лобковой костей, крестца слева, а также в проксимальной трети левой бедренной кости.

Рис. 7. Пациентка М. МСКТ левого тазобедренного сустава, корональная плоскость. Полиоссальная форма фиброзной дисплазии. Ось левой бедренной кости искривлена по типу «хоккейной клюшки». Шеечно-диафизарный угол 97° (норма 125–135°). Шейка деформирована, утолщена. В структуре проксимальной и средней трети бедренной кости определяются две полости (длинные стрелки). Содержимое полостей представлено солидным содержимым плотностью 65 ед. Н (фиброзная ткань). Кортикальный слой на границе проксимальной и средней трети неравномерно утолщен с периостальными костными наслоениями (консолидированный перелом?) (короткая стрелка).
Таблица 2. Результаты костной денситометрии у пациентов М., 53 лет, и Щ., 45 лет
|
Результаты DXA |
Пациент М. (T-критерий) |
Пациент Щ. (Z-критерий) |
|
L1–L4 |
-0,8 |
1,7 |
|
Neck Right |
-1,3 |
1,8 |
|
Total hip Right |
-0,6 |
2,1 |
|
Neck Left |
1,9 |
3,3 |
|
Total hip Left |
1,3 |
3,7 |
На основании проведенного обследования пациентке выставлен следующий диагноз.
Основное заболевание
Синдром МакКьюна–Олбрайта (клинически по триаде симптомов): акромегалия, активная стадия, частичная резистентность к медикаментозной терапии аналогами соматостатина пролонгированного действия. Кистозно-солидная микроаденома гипофиза с инфраселлярным поражением. Полиоссальная форма ФД с вовлечением костей черепа, височной и затылочной костей, с распространением на придаточные пазухи носа; левой бедренной кости, левой голени, таранной кости. Очаги фиброзной дисплазии в L3, L5. Локальные поражения кожи (пятна «кофе с молоком»). Многоузловой двусторонний зоб 1-й степени по ВОЗ, эутиреоз.
Осложнение основного заболевания
Патологические переломы конечностей. Состояние после патологических переломов левой бедренной кости от 1974 г. и 1989 г., остеосинтеза левого бедра от 1989 г., артродеза левого голеностопного сустава от 2011 г., корригирующей остеотомии левой голени от 2017 г.
Сопутствующие заболевания
Артериальная гипертензия 2 степени. Дислипидемия. Атеросклероз брахиоцефальных артерий (стеноз 50%).
Учитывая активную стадию акромегалии, неэффективность комбинированного медикаментозного лечения аналогами соматостатина пролонгированного действия и агонистами дофамина, пациентка была консультирована нейрохирургом. Однако наличие выраженной ФД костей черепа представляло значительные технические трудности для проведения оперативного лечения, поэтому было принято решение о продолжении лечения аналогами соматостатина и присоединении к терапии антагониста рецепторов гормона роста — пегвисоманта в дозе 40 мг п/к в первый день с последующим снижением дозы до 15 мг п/к ежедневно. При контрольном исследовании клинико-лабораторных показателей через месяц после начала комбинированной терапии уровень ИФР-1 снизился до 179,3 нг/мл (87–238), что доказало высокую эффективность данной схемы лечения, поэтому пациентке было рекомендовано продолжить терапию.
Принимая во внимание наличие выраженного болевого синдрома, высокие показатели маркеров костной резорбции и костеобразования, пациентке была назначена внутривенная капельная инфузия препарата из группы бисфосфонатов — золедроновой кислоты в дозе 5 мг для лечения фиброзной дисплазии, также в связи с наличием дефицита витамина D были назначены насыщающие (на 8 нед по 7000 МЕ в день), а затем поддерживающие дозы (по 2000 МЕ в день) колекальциферола.
Клинический случай №2
Пациент И., 18 лет, наблюдается в ФГБУ «НМИЦ эндокринологии» Минздрава России с возраста 13 лет.
Анамнез заболевания
С рождения — обширные пятна цвета «кофе с молоком». В 7 лет отмечен перелом верхней трети правого бедра, через месяц после снятия гипсовой повязки — повторный перелом, находился на скелетном вытяжении. С этого же возраста — деформация нижних конечностей, стал прихрамывать. Повторный осмотр ортопедом в 12 лет в связи с усилившейся хромотой, болью в поясничной области. Выполнены рентгенография и МСКТ костей таза и бедренных костей: деформация бедренных костей по типу пастушьего посоха, очаги фиброзно-кистозной дисплазии, на снимках визуализируются консолидированные переломы правого и левого бедра. Было предложено оперативное лечение после консультации эндокринолога.
Впервые в возрасте 13 лет консультирован эндокринологом, когда был заподозрен синдром МОБ, госпитализирован в институт детской эндокринологии ЭНЦ. При осмотре: рост 152,1 см (SDS -1,16), распространенные пятна цвета «кофе с молоком», деформация нижних конечностей по типу пастушьего посоха, укорочение левой ноги, деформация черепа.
Данные лабораторных обследований в 13 лет
Гормональный профиль: тиреотропный гормон (ТТГ) — 0,74 (0,53–5,27) мМЕ/л, свободный тироксин (св. Т4) — 10,04 (10–17,7) пмоль/л, СТГ — 4 (0,1–12) нг/мл, ИФР-1 — 495,5 (95–460) нг/мл, тестостерон — 4,42 (0,1–2,37) нмоль/л, пролактин биоактивный — 436 мЕд/л (N до 380), эстрадиол — 63 (19,7–242) пмоль/л, бета хорионический гонадотропин человека — менее 1,2 мМЕ/мл. Проба с глюкозой на подавление СТГ: 0’ 30’ 60’ 90’ 120’: СТГ, нг/мл, 2,36–9,53–9,32–3,67–2,25 соответственно — подавления менее 1 нг/мл не зарегистрировано. Глюкоза в ходе орального глюкозотолерантного теста (ОГТТ), ммоль/л: 4,57–7,15–7,35–6,18–5,9. Биохимический анализ крови: фосфор 1,4 ммоль/л (1,45–1,78). Экскреция фосфора с мочой: TRP (трабекулярная реабсорбция фосфора) 83,5% (85–95), TmP/GFR (отношение максимальной канальцевой реабсорбции фосфора к скорости клубочковой фильтрации) 1,08 (1,15–2,44).
Данные инструментальных исследований в 13 лет
УЗИ щитовидной железы: эхографические признаки многоузлового зоба. УЗИ мошонки: эхографические признаки микрокальциноза обоих яичек. МРТ головного мозга: МР-картина ФД черепа. Аденома гипофиза с супрапараселлярным распространением. Консультация офтальмолога: глазное дно без патологии, границы полей зрения в норме.
Тогда же выявлены признаки гипофосфатемического рахита на основании умеренного снижения фосфора в крови и минимального снижения максимальной тубулярной реабсорбции фосфата.
Учитывая гормонально-активный характер образования гипофиза (соматотропинома) в сочетании с фиброзно-кистозной дисплазией (ФКД), были назначены аналоги соматостатина — октреотид-депо 20 мг 1 раз в 28 дней и агонистов дофамина: каберголин 0,5 мг/нед. По поводу ФКД консультирован ортопедом, показаний к хирургическому лечению на тот момент не было. В связи с гипофосфатемическим рахитом была рекомендована фосфор-обогащенная диета.
Данные лабораторных исследований в 15 лет
Гормональный профиль: СТГ — 2,9 (0,1–12) нг/мл, ТТГ — 0,551 (0,43–4,2) мМЕ/л, св. Т4 — 9,75 (10,1–17,9) пмоль/л, ЛГ — 7,07 (2,5–11) Ед/л, пролактин — 259 (60–510) мЕд/л, тестостерон — 16 (0,98–38,5) нмоль/л, ИФР-1 — 400,4 (95–460) нг/мл, ПТГ — 70,9 (15–65) пг/мл, витамин D — 18,9 нг/мл (30–60). Биохимический анализ крови: гипофосфатемия — 1,24 ммоль/л (1,45–1,78), нормокальциемия — 1,1 ммоль/л.
Данные инструментальных исследований в 15 лет
- УЗИ щитовидной железы:эхо-признаки двустороннего многоузлового зоба.
- КТ головы:по сравнению с исследованием от 27.09.2017 г. — рентгенологическая картина без существенной динамики. КТ-признаки аденомы гипофиза. КТ-картина полиоссальной ФД. Сужение канала зрительного нерва с двух сторон (нельзя исключить компрессию зрительных нервов). Деформация и уменьшение размеров глазниц и околоносовых пазух.
В 17 лет перенес перелом средней трети правой голени. По поводу ФКД консультирован ортопедом, рекомендовано оперативное лечение.
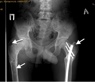
На рис. 8 — рентгенограмма костей таза в возрасте 17 лет: очаги ФД в правой бедренной кости. Остеосинтез левой бедренной кости.

Рис. 8. Очаги фиброзной дисплазии в правой бедренной кости. Остеосинтез левой бедренной кости
На фоне терапии аналогами соматостатина (Октреотид) 20 мг/28 дней сохранялись повышенные уровни ИФР-1 и СТГ, в связи с чем доза увеличена до 30 мг.
Госпитализация в отделение нейроэндокринологии и остеопатий в возрасте 19 лет.
При поступлении предъявлял жалобы на боли в голенях и бедренных костях. Получал терапию: октреотид пролонгированного действия 30 мг глубоко в/м 1 раз в 4 нед, Эутирокс 50 мкг/сут.
При осмотре: телосложение правильное. Масса тела 53,0 кг. Рост 163,7 см. Индекс массы тела 19,8 кг/м2. Кожные покровы: обширные пятна цвета «кофе с молоком» на туловище, руках и ногах (рис. 9); акромегалоидные черты лица нерезко выраженные, небольшой прогнатизм, широкие стопы и кисти. Половое оволосение мужское, половые органы развиты соответственно возрасту. Склеры обычной окраски. Костная система развита удовлетворительно, движения в суставах в полном объеме Деформация костей черепа. Деформация бедренной кости по типу пастушьего посоха справа, ЧСС 62 уд/мин. АДД 112/85 мм рт. ст.

Рис. 9. Пятна гиперпигментации «кофе с молоком» на спине у пациента И.
Данные инструментальных исследований
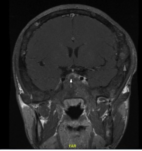
- МРТ головного мозга с внутривенным контрастированием: Аденома гипофиза с супраселлярным распространением. МР-картина фиброзной остеодисплазии. Субтотальное сужение наружных слуховых проходов, сужение зрительных каналов на уровне верхней глазничной щели (рис. 10, 11).
- УЗИ щитовидной железы: эхографические признаки двустороннего многоузлового зоба TIRADS 2.

Рис. 10. МРТ головного мозга пациента И. Аденома гипофиза (белая стрелка).
Описание. Полость турецкого седла деформирована — сужена в переднезаднем размере. В полости турецкого седла, в супраселлярной цистерне имеется солидное объемное образование неоднородной структуры, размерами 9×16×9 мм. Образование смещает и компримирует хиазму.

Рис. 11. МРТ головного мозга пациента И. Очаги фиброзной дисплазии в затылочной кости (серая стрелка).
Описание. Асимметричная деформация костей черепа, преимущественно лицевого черепа, деформация костей основания черепа, выраженная деформация затылочной кости (серая стрелка), деформация тела и крыльев клиновидной кости; имеется полная облитерация лобных пазух, правой верхнечелюстной пазухи, пазух основной кости, частичная облитерация решетчатой кости, левой верхнечелюстной пазухи, сужение наружных слуховых проходов. Структура костей изменена по типу фиброзной дисплазии.
На основании данных анамнеза и последнего обследования в ЭНЦ пациенту установлен следующий диагноз.
Основное заболевание
Синдром МОБ: акромегалия, ремиссия заболевания на фоне проводимой терапии. Полиоссальная фиброзно-кистозная дисплазия. Снижение тубулярной реабсорбции фосфата без гипофосфатемии
Осложнение основного заболевания
Деформация костей черепа. Деформация бедренной кости по типу пастушьего посоха справа, состояние после реконструкции проксимального отдела левой бедренной кости, патологический перелом верхней трети правой бедренной кости со смещением, остеосинтез бедренной кости в июле 2016 г., перелом правой голени в феврале 2019 г., перелом костей левого предплечья с остеосинтезом в марте 2019 г. Вторичный гипотиреоз.
Пациент выписан с рекомендациями продолжить терапию L-тироксином в дозе 75 мкг/сут.
По поводу гормонально-активной аденомы гипофиза получает терапию аналогами соматостатина (октреотид пролонгированного действия) в дозе 30 мг 1 раз в 28 дней, на фоне чего сохраняется компенсация акромегалии, решено продолжить лечение.
Учитывая снижение максимальной реабсорбции фосфата, необходимость антирезорбтивной терапии по поводу частых переломов, назначен колекальциферол и препараты кальция.
Для стабилизации полиоссальной формы ФКД проведена инфузия золедроновой кислоты внутривенно капельно по 5 мг 1 раз в год.
Клинический случай №3
Пациентка Щ., 45 лет, обратилась в ЭНЦ с жалобами на выраженные боли в левом бедре в покое, при физической нагрузке, боли в правой части головы.
Анамнез заболевания
Считает себя больной с 44 лет, когда при проведении КТ органов грудной клетки по поводу вирусной пневмонии были обнаружены очаговые изменения в ребрах. При обследовании у онколога: маммография — без особенностей, осмотр гинеколога с УЗИ органов малого таза — без особенностей, УЗИ органов брюшной полости — в печени солидное образование с гипоэхогенным «хало» 30×40 мм, УЗИ щитовидной железы — объем щитовидной железы 13,6 мл, узловые образования по задней поверхности нижней трети левой доли 20×13×13 мм (TIRADS IV), при тонкоигольной аспирационной биопсии: цитология — коллоидный зоб, фиброгастродуоденоскопия — эрозивный гастрит, фолликулярный бульбит, недостаточность кардии. Консультирована гематологом: М-градиент не обнаружен, общий белок 76, белок Бенс-Джонса в моче не обнаружен. Таким образом, миеломная болезнь исключена.
По данным однофотонной эмиссионной компьютерной томографии КТ — сцинтиграфические признаки очагового поражения костной системы. По данным позитронно-эмиссионной томографии (ПЭТ)/КТ с 18-фтордезоксиглюкозой (ФДГ): кистозные очаги верхней трети левой бедренной кости до 24×23 мм со склеротическим ободком, аналогичные очаги левой подвздошной кости 24×22 мм, аналогичные изменения бокового отрезка 3 ребра слева 36×14 мм, без повышенной активности ФДГ. В костях черепа без визуализируемых очаговых изменений, без очагов гиперметаболизма ФДГ.
По данным КТ головного мозга, костей черепа: дополнительные образования костей черепа слева (лобной, клиновидной). КТ-признаки правостороннего гайморита в фазе отека.
По результатам обследования консультирована в «НМИЦ ТО им. Н.Н. Приорова» МЗ РФ: признаков злокачественных образований не обнаружено. Изменения в структуре черепа могут соответствовать ФД либо проявлениям гиперпаратиреоза. Изменения в ребрах, подвздошной, бедренной костях в первую очередь дифференцируются между множественными кистами в частичной репарации и ФД.
При обследовании по месту жительства по результатам лабораторного исследования: ПТГ от 11 до 29 пмоль/л, PINP 34,5 нг/мл, кальций общий 2,41 ммоль/л, фосфор 0,89 ммоль/л, кальций ионизированный 1,04 ммоль/л, витамин D 51,4 нг/мл. Кальций в суточной моче 4,53 ммоль/сут.
Из активного расспроса известно, что принимает колекальциферол по 5000 МЕ ежедневно в течение последних 6 мес, а также тирозол 5 мг 2 раза в неделю по назначению эндокринолога по месту жительства в связи с диагнозом субклинического тиреотоксикоза (по данным лабораторных исследований на момент консультации: ТТГ 0,34, св. Т4 14,5 — в референсном интервале). Переломы, травмы, мочекаменную болезнь отрицает.
Менструации с 11 лет, нерегулярные. Беременности: 2, в течение 7 лет — бесплодный брак, далее через 6 лет беременность, закончившаяся родами. Роды: 1.
При объективном осмотре в отделении: рост 171 см, вес 103 кг, ИМТ=35,2 кг/м2, АД 130/90 мм рт. ст., ЧСС 67 в минуту. Status localis: На коже левого плеча, области локтя, левой лопатки, левой половины грудной клетки обращают на себя внимание участки гиперпигментации по типу «пятен цвета кофе с молоком», которые наблюдаются с момента рождения пациентки (рис. 12).

Рис. 12. Пятна «кофе с молоком» на руке у пациентки Щ.
Данные инструментальных исследований
- УЗИ щитовидной железы: в правой доле образования размерами до 1,8 см (EU-TITADS 3), в перешейке-правой доле размерами до 1,6 см (EU-TIRADS 4); в левой доле размерами до 0,9 см (EU-TIRADS 4); конгломератное образование размерами до 2,8 см (EU-TIRADS 3). В местах их типичного расположения околощитовидных желез и зонах возможной эктопии, доступных для УЗИ, дополнительных объемных образований не выявлено. Проведена тонкоигольная аспирационная биопсия образований щитовидной железы. Результат цитологического исследования пунктата щитовидной железы соответствовал классификационному критерию Bethesda I (материал неинформативный).
- По результатам рентгеновской денситометрии поясничного отдела позвоночника и проксимального отдела бедра снижения минеральной плотности костной ткани не обнаружено (табл. 2).
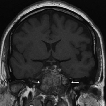
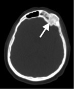
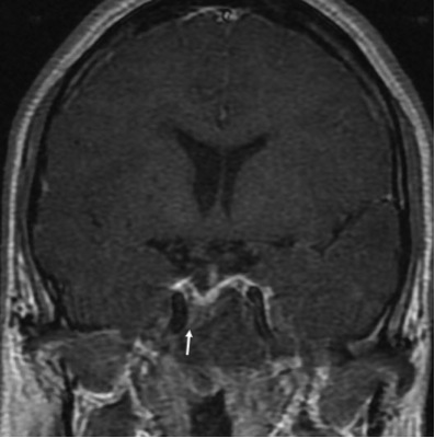
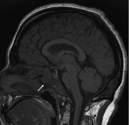
- МРТ головного мозга с внутривенным контрастированием: МР-признаки полиоссальной фиброзной дисплазии (см. описание). Умеренный экзофтальм. Умеренное расширение конвекситальных субарахноидальных пространств. МР — данных за очаговые изменения вещества головного мозга не получено (рис. 13, 14).
- ПЭТ-КТ, МСКТ скелета в ЭНЦ: в левых отделах лобной кости (рис. 15), в клиновидной кости, теле и левой ветви нижней челюсти определяется расширение границ кости, уплотнение структуры по типу «матового стекла». Также визуализируются участки разряжения и уплотнения 3–6 ребер слева, грудных и поясничных позвонков, S1 позвонка. Аналогичные изменения в проксимальных отделах левой бедренной кости, теле и гребне левой подвздошной кости (рис. 16). Выявленные изменения костей соответствуют полиоссальной форме ФД.

Рис. 13. Пациентка Щ. МРТ головы: фиброзная дисплазия в левой скуловой кости.
Описание. Асимметричная деформация и утолщение костей черепа с разрастанием фиброзной ткани: скуловых костей, больше слева, с умеренной деформацией латеральной стенки левой орбиты. Глазные яблоки выстоят кпереди, задний контур расположен кзади от межскуловой линии справа на 6,4 мм, слева на 7,3 мм (норма 9,9+/-1.7 мм).

Рис. 14. Пациентка Щ. МРТ головы. Фиброзная дисплазия тела клиновидной кости с облитерацией задней части клиновидных пазух.
Описание. Гипофиз деформирован, имеет вогнутый верхний контур, размеры: вертикальный — 4,5 мм, поперечный — 16 мм, переднезадний — 12 мм. Структура аденогипофиза однородна, воронка расположена по средней линии, задняя доля гипофиза имеет типичный сигнал и локализацию.

Рис. 15. Пациентка Щ. МСКТ, аксиальная плоскость. Полиоссальная форма фиброзной дисплазии. Уплотнение структуры левых отделов лобной кости и клиновидной кости.

Рис. 16. Пациентка Щ. МСКТ, криволинейная реконструкция.
Полиоссальная форма фиброзной дисплазии. Разряжение структуры костей с сохранением трабекулярного рисунка без деструкции кортикального слоя в проксимальных отделах левой бедренной кости, теле и гребне левой подвздошной кости (стрелки).
На основании проведенного обследования пациентке выставлен диагноз.
Основное заболевание.
Синдром МОБ с полиоссальной формой ФД (с поражением костей черепа, ребер, левой подвздошной кости, левой бедренной кости, тел грудных позвонков), трофическими изменениями кожи в виде кофейных пятен и вторичным гипогонадизмом вследствие масс-эффекта фиброзных кист черепа.
Сопутствующие заболевания.
Многоузловой двусторонний зоб (объем щитовидной железы 19 мл), эутиреоз. Нарушение гликемии натощак.
Во время госпитализации проведен поиск возможных эндокринных патологий, встречающихся при синдроме МОБ (табл. 1): исключены болезнь Иценко–Кушинга, акромегалия, гиперпролактинемия, первичный гиперпаратиреоз. Отмечается снижение уровня ЛГ при уровне эстрадиола в пределах референсного интервала, наличие олигоменореи как проявление гипогонадотропного гипогонадизма вследствие возможного масс-эффекта фиброзных кист черепа.
В отделении проведена инфузия препарата золедроновой кислоты 5 мг как единственное возможное медикаментозное лечение ФД с целью стабилизации костных изменений.
ОБСУЖДЕНИЕ
Синдром МОБ в «классическом» варианте представляет собой сочетание триады признаков: ФД костей, ППР, наличия поражений кожи в виде появления пятен цвета «кофе с молоком».
Несмотря на то что первое описание МОБ было в 1936 г., имеются исторические сведения о пациенте Tegerencee, который был гигантом ростом 235 см, умер в возрасте 25 лет в 1876 г., его скелет хранится в институте патологии Мюнхенского университета, где было установлено, что он страдал ФД [8].
Гиперактивность аденилатциклазной системы при синдроме МОБ обуславливает развитие различных эндокринопатий, таких как ППР (до 85% у девочек), гипертиреоз, многоузловой зоб, акромегалия, гиперпролактинемия, синдром Кушинга, гипофосфатемический рахит. По данным различных литературных источников, патология щитовидной железы встречается у 2/3 пациентов, акромегалия — у 20–30%.
При анализе 112 случаев синдрома МОБ, сочетающихся с акромегалией, средний возраст пациентов составил 24,4 года с разбросом от 3 до 64 лет. В наших случаях это были пациенты 18, 47 и 53 лет, только у пациента 18 лет диагноз МОБ выставлен в 13 лет, а у женщин — в 47 и 52 года. По данным анамнеза явных признаков ППР ни у кого в детстве не было [9].
В серии 112 случаев МОБ и акромегалии полиоссальная форма ФД с поражением костей черепа наблюдалась у 109 из 112 пациентов, гипертиреоз — у 21%, гиперпролактинемия разной степени выраженности — у 81%, синдром Кушинга центрального генеза — у 4 пациентов. Поскольку данные о пациентах собирались в течение многих лет, данные о МРТ и КТ головного мозга были только у 95 человек. Аденомы гипофиза были подтверждены гистологически после отмены у 52, в 72% случаев — это были макроаденомы, зрительные расстройства — у 43%. Из-за технических трудностей нейрохирургическое лечение проведено 25 больным с достижением ремиссии только у 3 пациентов (12%). Авторы отмечают, что в ряде случаев МОБ и акромегалии может наблюдаться гиперплазия соматотрофов без образования аденомы, что у некоторых пациентов подтверждалось гистологически, а иногда и на аутопсии. За период наблюдения умерли 11 из 112 больных.
В представленных нами случаях у всех пациентов наблюдались полиоссальная форма ФД с поражением костей черепа, нижних конечностей, ребер, пигментные изменения кожи с рождения по типу пятен «кофе с молоком», многоузловой зоб. У пациентов 1 и 2 диагностирована СТГ-продуцирующая аденома гипофиза с акромегалией мягкого течения, компенсированной медикаментозной терапией. У пациентки 3 на фоне многоузлового зоба был кратковременный эпизод субклинического тиреотоксикоза [11], а также признаки гипогонадотропной опсоменореи. Отличительной особенностью пациента 2 было выявление мягкой формы гипофосфатемического рахита, также описываемого в рамках синдрома МОБ [12].
Необходимо отметить, что клинические признаки заболевания, помимо пигментных пятен с рождения, у всех пациентов начались с костных проявлений: у 1 и 2 пациентов с детства, сопровождались переломами нижних конечностей, у пациентки 3 боли в костях появились только в 46 лет. Особенностью случая 3 является долгий путь к постановке диагноза ФКД, несмотря на яркие рентгенологические проявления: через онкопоиск, диагноз гиперпаратиреоза, что вызвало сильную тревожность и элементы депрессии. Ни в одном случае заболевания, даже несмотря на переломы, не выявлено снижения минеральной плотности кости.
Все 3 пациента были детально обследованы в отношении различных эндокринопатий, в двух случаях подтверждена акромегалия. Тактика ведения пациентов с синдромом МОБ в сочетании с эндокринопатиями несколько отличается от общепринятых принципов. При синдроме МОБ часто встречаются аденомы смешанного характера — чаще всего соматопролактиномы, поэтому важно обращать внимание на наличие клинических признаков гиперпролактинемии и акромегалии, исследовать пролактин, ИФР-1 и в сомнительных случаях определять уровень СТГ в ходе ПГТТ [8].
При синдроме МОБ с акромегалией следует рассмотреть тактику ведения в сторону консервативного лечения, а не радикального удаления аденомы гипофиза, так как в обоих представленных случаях проявления ФКД в костях черепа создают определенные технические трудности для нейрохирургического лечения. Препаратами 1-й линии являются аналоги соматостатина пролонгированного действия, при неэффективности — в комбинации с антагонистом рецептора гормона роста — пегвисомантом [5][13]. Гиперпролактинемия при синдроме МОБ хорошо поддается лечению агонистами дофамина — каберголином [5][14][15]. Хирургическое удаление аденомы гипофиза применяется только в случаях неэффективности медикаментозной терапии, поскольку поражение гипофиза при синдроме МОБ может иметь диффузный характер, что обуславливает отсутствие четкой визуализации аденомы гипофиза на МРТ. Поэтому при синдроме МОБ хирургическое лечение обычно представляет собой тотальную гипофизэктомию, которая в последующем снижает качество жизни пациентов [5][10]. В представленных нами 1 и 2 случаях медикаментозная терапия оказалась эффективной. В 1-м случае это были аналоги соматостатина длительного действия в сочетании с пегвисомантом, во 2-м — только аналоги соматостатина.
ФД из всех клинических проявлений синдрома МОБ (за исключением синдрома Кушинга) в большей степени снижает качество жизни пациентов. В первую очередь это связано с наличием болевого синдрома, который вынуждает пациентов постоянно принимать нестероидные противовоспалительные препараты в большом количестве, что повышает риски возникновения заболеваний желудочно-кишечного тракта, почек, сердечно-сосудистой системы [1]. При наличии невропатической боли рекомендуется в качестве терапии рассмотреть прием нетипичной анальгетической линии терапии — амитриптилин, прегабалин, дулоксетин [1][16]. В последнее время с целью уменьшения болевого синдрома стали рассматривать использование препаратов группы бисфосфонатов [14][16]. Например, проводили исследование возможности приема алендроната, которое показало низкую эффективность препарата для уменьшения болевого синдрома при ФД костей [17]. По результатам данного исследования в группе, которая принимала алендронат, отмечались положительные эффекты в виде снижения маркера костной резорбции — N-концевого телопептида коллагена 1 типа через 18 мес, а также увеличения плотности костей, но без значимых визуализационных изменений. Однако было доказано, что прием алендроната никак не влияет на болевой синдром [17].
Золедроновая кислота — это аминобисфосфонат III поколения, который в настоящее время используется у взрослых пациентов с различными костными заболеваниями: этот препарат подходит для пациентов с метастазами при раке простаты или молочной железы, применяется для лечения постменопаузального остеопороза, а также у пациентов с болезнью Педжета. Золедроновая кислота обладает антирезорбтивной активностью, т.е. ингибирует активность остеокластов как напрямую, так и опосредованно, тем самым улучшая костный метаболизм. По данным гистологических исследований, при ФД в пораженных костях преобладают остеокласты, что обуславливает высокую скорость резорбции костей [18]. Причина болевого синдрома при ФД не установлена, однако показана высокая эффективность применения золедроновой кислоты для уменьшения болевого синдрома [19]. Описаны случаи успешного применения золедроновой кислоты в педиатрической практике для лечения болевого синдрома при краниофасциальной форме ФД [19], а также эффективности и безопасности применения золедроновой кислоты в течение 4 лет у пациента с полиоссальной формой ФД — поражением костей черепа, ребер [20]. Учитывая эти данные, всем нашим пациентам назначено лечение 5 мг золедроновой кислоты 1 раз в год с дальнейшим динамическим наблюдением и определением длительности лечения.
ЗАКЛЮЧЕНИЕ
Синдром МОБ — редкое генетическое заболевание, характеризующееся многообразием клинических проявлений с поражением костной системы, кожи и эндокринопатий. Представленные клинические примеры демонстрируют диагностические трудности и в ряде случаев — позднее выявление заболевания. Для ранней постановки диагноза необходимо распространение знаний об этом заболевании среди рентгенологов, травматологов, ортопедов, эндокринологов, педиатров (пятна «кофе с молоком», как правило выявляются с рождения), ревматологов, нейрохирургов. Тактика лечения подбирается индивидуально, в зависимости от проявлений заболевания. Лечение ФД разработано слабо, применение бисфосфонатов, в частности золедроновой кислоты, применяется по индивидуальным показаниям, преимущественно у пациентов с выраженным болевым синдромом и высокими показателями костного обмена.
ДОПОЛНИТЕЛЬНАЯ ИНФОРМАЦИЯ
Финансирование. Работа опубликована при поддержке государственного задания АААА-А20-120011690202-4.
Конфликт интересов. Авторы декларируют отсутствие явных и потенциальных конфликтов интересов, связанных с публикацией настоящей статьи.
Участие авторов. Все указанные авторы статьи в равной степени принимали участие в подготовке статьи согласно международным критериям авторства 1, 2, 3, 4.
Все авторы одобрили финальную версию статьи перед публикацией, выразили согласие нести ответственность за все аспекты работы, подразумевающую надлежащее изучение и решение вопросов, связанных с точностью или добросовестностью любой части работы.
Согласие пациента. Пациенты дали письменные информированные добровольные согласия на публикацию медицинских данных в рамках настоящей статьи.
Список литературы
1. Kassim J, Boyce A, Appelman-Dijkstra N, et al. Best practice management guidelines for fibrous dysplasia/McCune-Albright syndrome: a consensus statement from the FD/MAS international consortium. Orphanet Journal of Rare Disease. 2019;14(1):139. doi: https://doi.org/10.1186/s13023-019-1102-9
2. Robinson C, Collins MT, Boyce AM. Fibrous Dysplasia/ McCune-Albright Syndrome: Clinical and Translational Perspectives. Current Osteoporosis Reports. 2016;14(5):178-186. doi: https://doi.org/10.1007/s11914-016-0317-0
3. Маказан Н.В. Роль нарушений пострецепторного сигналинга в развитии мультигормональной резистентности и автономной гиперфункции эндокринных желез у детей: дис. ...канд. мед. наук. ФГБУ НМИЦ эндокринологии Минздрава РФ; 2017. FGBU NMITs Endokrinlogii Minzdrava RF; 2017. Доступно по: https://www.endocrincentr.ru/sites/default/files/specialists/science/dissertation/diss_makazan.pdf
4. Yao Y, Liu Y, Wang L, et al. Clinical characteristics and management of growth hormone excess in patients with McCune–Albright syndrome. European Journal of Endocrinology. 2017;176(3):295-303. doi: https://doi.org/10.1530/EJE-16-0715
5. Spencer T, Pan KS, Collins MT, Boyce AM. The Clinical Spectrum of McCune-Albright Syndrome and Its Management. Hormone Research in Paediatrics. 2019;92(6):347-356. doi: https://doi.org/10.1159/000504802
6. Jia-Woei H. McCune–Albright Syndrome: Diagnosis and clinical course in eleven patients. Pediatrics & Neonatology. 2018;59:418-420. doi: https://doi.org/10.1016/j.pedneo.2017.11.005
7. Sung SH, Yoon HD, Shon HS, et al. A Case of McCune-Albright Syndrome with Associated Multiple Endocrinopathies. Korean J Intern Med. 2007;22(1):45. doi: https://doi.org/10.3904/kjim.2007.22.1.45
8. Rajan R, Cherian KE, Asha HS, Paul TV. McCune Albright syndrome: an endocrine medley. BMJ Case Rep. 2019;12(7):e229141. doi: https://doi.org/10.1136/bcr-2018-229141
9. Salenave S, Boyce AM, Collins MT, et al. Acromegaly and McCune-Albright Syndrome. The Journal of Clinical Endocrinology & Metabolism. 2014;99(6):1955-1969. doi: https://doi.org/10.1210/jc.2013-3826
10. Premawardhana LDKE, Vora JP, Mills R et al. Acromegaly and its treatment in the McCune-Albright syndrome. Clinical Endocrinolog. 1992;36(6):605-608. doi: https://doi.org/10.1111/j.1365-2265.1992.tb02272.x
11. Carlé A, Andersen SL, Boelaert K, et al. Management of endocrine disease: Subclinical thyrotoxicosis: prevalence, causes and choice of therapy. European Journal of Endocrinology. 2017;176(6):325-337. doi: https://doi.org/10.1530/eje-16-0276
12. Bitzan M, Goodyer PR. Hypophosphatemic Rickets. Pediatric Clinics of North America. 2019;66(1):179-207. doi: https://doi.org/10.1016/j.pcl.2018.09.004
13. Tritos NA, Biller BMK. Pegvisomant: a growth hormone receptor antagonist used in the treatment of acromegaly. Pituitary. 2016;20(1):129-135. doi: https://doi.org/10.1007/s11102-016-0753-y
14. Classen CF, Mix M, Kyank U, Hauenstein C, et al. Pamidronic acid and cabergoline as effective long-term therapy in a 12-yearold girl with extended facial polyostotic fibrous dysplasia, prolactinoma and acromegaly in McCune-Albright syndrome: a case report. Journal of Medical Case Reports. 2012;24(6):32. doi: https://doi.org/10.1186/1752-1947-6-32
15. Manjila S, Wu OC, Khan FR, et al. Pharmacological management of acromegaly: a current perspective. Neurosurgical Focus. 2010;29(4):E14. doi: https://doi.org/10.3171/2010.7.focus10168
16. Chapurlat RD, Gensburger D, Jimenez-Andrade JM, et al. Pathophysiology and medical treatment of pain in fibrous dysplasia of bone. Orphanet J Rare Dis. 2012;7(S1):S3. doi: https://doi.org/10.1186/1750-1172-7-S1-S3
17. Boyce AM, Kelly MH, Brillante BA, et al. A Randomized, Double Blind, Placebo-Controlled Trial of Alendronate Treatment for Fibrous Dysplasia of Bone. The Journal of Clinical Endocrinology & Metabolism. 2014;99(11):4133-4140. doi: https://doi.org/10.1210/jc.2014-1371
18. Di W, Jie M, Suqing B, et al. Continuous effect with long-term safety in zoledronic acid therapy for polyostotic fibrous dysplasia with severe bone destruction. Rheumatology International. 2015;35(4):767-772. doi: https://doi.org/10.1007/s00296-014-3132-x
19. Di Pede C, Congedi S, Rossin S, et al. Use of Zoledronic Acid in Paediatric Craniofacial Fibrous Dysplasia. Case Rep Pediatr. 2016;2016:1-6. doi: https://doi.org/10.1155/2016/2329483
20. Wu D, Ma J, Bao S, Guan H. Continuous effect with long-term safety in zoledronic acid therapy for polyostotic fibrous dysplasia with severe bone destruction. Rheumatology International. 2014;35(4):767-772. doi: https://doi.org/10.1007/s00296-014-3132-x
Об авторах
Л. Я. РожинскаяРоссия
Рожинская Людмила Яковлевна, д.м.н., профессор; Researcher ID: В-6618-2017; Scopus Author ID: 55121221200;
eLibrary SPIN: 5691-7775
117036, Москва, ул. Дмитрия Ульянова, д. 11
Д. Г. Сардаева
Россия
Сардаева Дарья Геннадьевна, ординатор
Москва
Н. Ю. Калинченко
Россия
Калинченко Наталья Юрьевна, к.м.н., вед.н.с.; eLibrary SPIN: 6727-9653
Москва
А. М. Чуканова
Россия
Чуканова Анна Михайловна, ординатор
Москва
Н. В. Тарбаева
Россия
Тарбаева Наталья Викторовна, к.м.н.; eLibrary SPIN: 5808-8065
Москва
С. А. Бурякина
Россия
Бурякина Светлана Алексеевна, к.м.н.; eLibrary SPIN: 5675-0651
Москва
В. П. Владимирова
Россия
Владимирова Виктория Павловна, к.м.н.; eLibrary SPIN: 9830-3276
Москва
Ж. Е. Белая
Россия
Белая Жанна Евгеньевна, д.м.н., профессор; eLibrary SPIN: 4746-7173
Москва
Г. А. Мельниченко
Россия
Мельниченко Галина Афанасьевна, академик РАН, д.м.н., профессор; eLibrary SPIN: 8615-0038
Москва
Дополнительные файлы
|
|
1. Рис. 1. Вальгусная деформация левого коленного сустава и левого голеностопного сустава у пациентки М. | |
| Тема | ||
| Тип | Исследовательские инструменты | |
Посмотреть
(16KB)
|
Метаданные ▾ | |
|
|
2. Рис. 2. Пятно цвета «кофе с молоком» на коже левой ягодицы у пациентки М. | |
| Тема | ||
| Тип | Исследовательские инструменты | |
Посмотреть
(15KB)
|
Метаданные ▾ | |
|
|
3. Рис. 3. Пациентка М. МРТ головного мозга. Микроаденома гипофиза с пара-инфраселлярным распространением. | |
| Тема | ||
| Тип | Исследовательские инструменты | |
Посмотреть
(36KB)
|
Метаданные ▾ | |
|
|
4. Рис. 4. Пациентка М. МРТ. Фиброзная дисплазия клиновидной кости. | |
| Тема | ||
| Тип | Исследовательские инструменты | |
Посмотреть
(36KB)
|
Метаданные ▾ | |
|
|
5. Рис. 5. Пациентка М. Очаги фиброзной дисплазии в крыле подвздошной кости и в межвертельной области бедренной кости. | |
| Тема | ||
| Тип | Исследовательские инструменты | |
Посмотреть
(27KB)
|
Метаданные ▾ | |
|
|
6. Рис. 6. Пациентка М. МСКТ таза, 3D-реконструкция. Полиоссальная форма фиброзной дисплазии. Зоны кистовидных перестроек (стрелки) в костях таза и левой бедренной кости, преимущественно расположенных в области подвздошной, лобковой костей, крестца слева, а также в проксимальной трети левой бедренной кости. | |
| Тема | ||
| Тип | Исследовательские инструменты | |
Посмотреть
(87KB)
|
Метаданные ▾ | |
|
|
7. Рис. 7. Пациентка М. МСКТ левого тазобедренного сустава, корональная плоскость. Полиоссальная форма фиброзной дисплазии. Ось левой бедренной кости искривлена по типу «хоккейной клюшки». Шеечно-диафизарный угол 97° (норма 125–135°). Шейка деформирована, утолщена. В структуре проксимальной и средней трети бедренной кости определяются две полости (длинные стрелки). Содержимое полостей представлено солидным содержимым плотностью 65 ед. Н (фиброзная ткань). Кортикальный слой на границе проксимальной и средней трети неравномерно утолщен с периостальными костными наслоениями (консолидированный перелом?) (короткая стрелка). | |
| Тема | ||
| Тип | Исследовательские инструменты | |
Посмотреть
(32KB)
|
Метаданные ▾ | |
|
|
8. Рис. 8. Очаги фиброзной дисплазии в правой бедренной кости. Остеосинтез левой бедренной кости | |
| Тема | ||
| Тип | Исследовательские инструменты | |
Посмотреть
(22KB)
|
Метаданные ▾ | |
|
|
9. Рис. 9. Пятна гиперпигментации «кофе с молоком» на спине у пациента И. | |
| Тема | ||
| Тип | Исследовательские инструменты | |
Посмотреть
(21KB)
|
Метаданные ▾ | |
|
|
10. Рис. 10. МРТ головного мозга пациента И. Аденома гипофиза (белая стрелка). | |
| Тема | ||
| Тип | Исследовательские инструменты | |
Посмотреть
(20KB)
|
Метаданные ▾ | |
|
|
11. Рис. 11. МРТ головного мозга пациента И. Очаги фиброзной дисплазии в затылочной кости (серая стрелка). | |
| Тема | ||
| Тип | Исследовательские инструменты | |
Посмотреть
(29KB)
|
Метаданные ▾ | |
|
|
12. Рис. 12. Пятна «кофе с молоком» на руке у пациентки Щ. | |
| Тема | ||
| Тип | Исследовательские инструменты | |
Посмотреть
(17KB)
|
Метаданные ▾ | |
|
|
13. Рис. 13. Пациентка Щ. МРТ головы: фиброзная дисплазия в левой скуловой кости. | |
| Тема | ||
| Тип | Исследовательские инструменты | |
Посмотреть
(45KB)
|
Метаданные ▾ | |
|
|
14. Рис. 14. Пациентка Щ. МРТ головы. Фиброзная дисплазия тела клиновидной кости с облитерацией задней части клиновидных пазух. | |
| Тема | ||
| Тип | Исследовательские инструменты | |
Посмотреть
(31KB)
|
Метаданные ▾ | |
|
|
15. Рис. 15. Пациентка Щ. МСКТ, аксиальная плоскость. Полиоссальная форма фиброзной дисплазии. Уплотнение структуры левых отделов лобной кости и клиновидной кости. | |
| Тема | ||
| Тип | Исследовательские инструменты | |
Посмотреть
(8KB)
|
Метаданные ▾ | |
|
|
16. Рис. 16. Пациентка Щ. МСКТ, криволинейная реконструкция. Полиоссальная форма фиброзной дисплазии. Разряжение структуры костей с сохранением трабекулярного рисунка без деструкции кортикального слоя в проксимальных отделах левой бедренной кости, теле и гребне левой подвздошной кости (стрелки). | |
| Тема | ||
| Тип | Исследовательские инструменты | |
Посмотреть
(17KB)
|
Метаданные ▾ | |
Рецензия
Для цитирования:
Рожинская Л.Я., Сардаева Д.Г., Калинченко Н.Ю., Чуканова А.М., Тарбаева Н.В., Бурякина С.А., Владимирова В.П., Белая Ж.Е., Мельниченко Г.А. Синдром Маккьюна–Олбрайта–Брайтцева: описание трех клинических случаев, особенности диагностики и тактики лечения. Остеопороз и остеопатии. 2021;24(3):19-32. https://doi.org/10.14341/osteo12932
For citation:
Rozhinskaya L.Ya., Sardaeva D.G., Kalinchenko N.Y., Chukanova A.M., Tarbaeva N.V., Buryakina S.A., Vladimirova V.P., Belaya Z.E., Melnichenko G.A. McCune–Albright syndrome: description of three clinical cases, features of diagnostics and treatment. Osteoporosis and Bone Diseases. 2021;24(3):19-32. (In Russ.) https://doi.org/10.14341/osteo12932
JATS XML
Контент доступен под лицензией Creative Commons Attribution-NonCommercial-NoDerivatives 4.0 International License (CC BY-NC-ND 4.0).
































