Pachydermoperiostosis: a case report
https://doi.org/10.14341/osteo2017252-57
Abstract
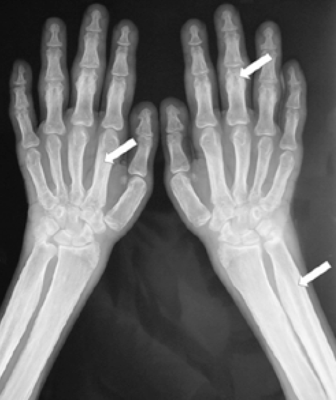
Pachydermoperiostosis (PHO) or primary hypertrophic osteoarthropathy is a rare genetic disease that typically begins during childhood or adolescence. It is characterized by digital clubbing, pachydermia and periosteal reaction and progresses gradually over the years prior to disease stabilization. Two genes are reported to be associated with PHO – HPGD and SLCO2A1. These genes are involved in prostaglandin E2 metabolism.
We present a description of a 19-year-old patient with PHO. We found two mutations in the SLCO2A1 gene: p.Gly183Ar (chr3:133673888, NM_005630.2:c.547G>A) and p.Cys444Gly (chr3:133664070, NM_005630.2:c.1330T>G) through molecular genetic analysis. The mutation (p.Cys444Gly) has never been recorded in previous studies.
This work expands our knowledge of the mutation spectrum of PHO, which will facilitate faster genetic diagnosis and interpretation of genetic information in prenatal diagnosis and genetic counseling.
About the Authors
Valentina A. FursenkoEndocrinology Research Centre
Russian Federation
Tatiana A. Grebennikova
Endocrinology Research Centre
Russian Federation
Alexey G. Nikitin
Federal Research Clinical Centre for Specialized Types of Health care and Medical technologies of FMBA
Russian Federation
PhD
Zhanna E. Belaya
Endocrinology Research Centre
Russian Federation
MD, PhD, Professor
References
1. Castori M, Sinibaldi L, Mingarelli R, et al. Pachydermoperiostosis: an update. Clin Genet. 2005;68(6):477-486. doi: 10.1111/j.1399-0004.2005.00533.x.
2. Rimoin DL. Pachydermoperiostosis (Idiopathic Clubbing and Periostosis). N Engl J Med. 1965;272(18):923-931. doi: 10.1056/nejm196505062721801.
3. Mobini M, Akha O, Fakheri H, et al. Pachydermoperiostosis in a Patient with Crohn’s Disease: Treatment and Literature Review. Iran J Med Sci. 2017;41(2).
4. Jyotsna VP, Rahaman SH, Kandasamy D. Pachydermoperiostosis: Incomplete form, mimicking acromegaly. Indian J Endocrinol Metab. 2016;20(5):730. doi: 10.4103/2230-8210.190564.
5. Friedrich N. Hyperostose des gesammtenskelettes: Virchows. Arch Pathol Anat. 1868;43(1):446-513.
6. Touraine A, Solente G, Gole L. Un syndrome osteodermopathique: la pachydermieplicaturee avec pachyperiostose des extremites. Presse Med. 1935;43:1820-1824
7. Karnan S, Krishnamoorthy V, Ethiraj P, Sathyanathan BP. Touraine-Solente-Gole syndrome: The complete form needs to be recognized. Indian J Nucl Med. 2012;27(3):201-204. doi: 10.4103/0972-3919.112743.
8. Jajic Z, Jajic I. Prevalence of primary hypertrophic osteoarthropathy in selected population. Clin Exp Rheum. 1992;10(2):73.
9. Gómez Rodríguez N, Ibáñez Ruán J, González Pérez M. Primary hypertrophic osteoarthropathy (pachydermoperiostosis). Report of 2 familial cases and literature review. Reumatología Clínica (English Edition). 2009;5(6):259-263. doi: 10.1016/s2173-5743(09)70134-0.
10. Martínez-Lavín M, Pineda C, Valdez T, et al. Primary hypertrophic osteoarthropathy. Semin. Arthritis Rheum. 1988;17(3):156-162. doi: 10.1016/0049-0172(88)90017-0.
11. Uppal S, Diggle CP, Carr IM, et al. Mutations in 15-hydroxyprostaglandin dehydrogenase cause primary hypertrophic osteoarthropathy. Nat Genet. 2008;40(6):789-793. doi: 10.1038/ng.153.
12. Zhang Z, Xia W, He J, et al. Exome Sequencing Identifies SLCO2A1 Mutations as a Cause of Primary Hypertrophic Osteoarthropathy. Am J Hum Genet. 2012;90(1):125-132. doi: 10.1016/j.ajhg.2011.11.019.
13. Sasaki T, Niizeki H, Shimizu A, et al. Identification of mutations in the prostaglandin transporter gene SLCO2A1 and its phenotype–genotype correlation in Japanese patients with pachydermoperiostosis. J Dermatol Sci. 2012;68(1):36-44. doi: 10.1016/j.jdermsci.2012.07.008.
14. Lee S, Park SY, Kwon HJ, et al. Identification of the Mutations in the Prostaglandin Transporter Gene,SLCO2A1and Clinical Characterization in Korean Patients with Pachydermoperiostosis. J Korean Med Sci. 2016;31(5):735. doi: 10.3346/jkms.2016.31.5.735.
15. Cheng R, Li M, Guo Y, et al. Three novel mutations in the SLCO2A1 gene in two Chinese families with primary hypertrophic osteoarthropathy. Eur J Dermatol. 2013;23(5):636-639. doi: 10.1684/ejd.2013.2154.
16. Sonthalia N, Mukherjee K, Saha A, Talukdar A. Treatment of hypertrophic osteoarthropathy in the case of pulmonary metastasis secondary-to-nasopharyngeal carcinoma with zoledronic acid: an enlightening experience. BMJ Case Rep. 2012;2012:bcr2012006759. doi: 10.1136/bcr-2012-006759.
17. Wijesekera VA, Radford DJ. Hypertrophic osteoarthropathy in Eisenmenger syndrome. Congenit Heart Dis. 2013;8(3):E65-69. doi: 10.1111/j.1747-0803.2011.00624.x.
18. N Nahar I, Al-Shemmeri M, Hussain M. Secondary hypertrophic osteoarthropathy: new insights on pathogenesis and management. Gulf J Oncolog. 2007;1(1):71-76.
19. Abdullah NRA, Jason WLC, Nasruddin AB. Pachydermoperiostosis: a rare mimicker of acromegaly. Endocrinology, Diabetes & Metabolism Case Reports. 2017. doi: 10.1530/edm-17-0029.
20. Atkinson S, Fox SB. Vascular endothelial growth factor(VEGF)-A and platelet-derived growth factor(PDGF) play a central role in the pathogenesis of digital clubbing. J Pathol. 2004;203(2):721-728. doi: 10.1002/path.1565.
21. Zarur F, d'Almeida L, Novellino AB, Reis Me. The action of prostaglandins on ciliary hypertrichosis: A case report of pachydermoperiostosis. Int J Trichol. 2014;6(1):25. doi: 10.4103/0974-7753.136756.
22. Tariq M, Azeem Z, Ali G, et al. Mutation in the HPGD gene encoding NAD+ dependent 15-hydroxyprostaglandin dehydrogenase underlies isolated congenital nail clubbing (ICNC). J Med Genet. 2008;46(1):14-20. doi: 10.1136/jmg.2008.061234.
23. O'Connell S, Suri M, Duff D, et al. Congenital cardiac disease as a core feature of cranio-osteoarthropathy. Clin. Dysmorphol. 2004;13(4):213-219.
24. Colombe L, Vindrios A, Michelet J-F, Bernard BA. Prostaglandin metabolism in human hair follicle. Exp Dermatol. 2007;16(9):762-769. doi: 10.1111/j.1600-0625.2007.00586.x.
25. Copenhaver GP, Umeno J, Hisamatsu T, et al. A Hereditary Enteropathy Caused by Mutations in the SLCO2A1 Gene, Encoding a Prostaglandin Transporter. PLoS Genet. 2015;11(11):e1005581. doi: 10.1371/journal.pgen.1005581.
26. Lek M, Karczewski KJ, Minikel EV, et al. Analysis of protein-coding genetic variation in 60,706 humans. Nature. 2016;536(7616):285-291. doi: 10.1038/nature19057.
27. Tinoco-Fragoso F, Mendez-Flores S, Dominguez-Cherit J. Pachydermoperiostosis, a unique entity with distinctive clinical features. Dermatol Online J. 2015;21(5).
28. Li S-S, He J-W, Fu W-Z, et al. Clinical, Biochemical, and Genetic Features of 41 Han Chinese Families With Primary Hypertrophic Osteoarthropathy, and Their Therapeutic Response to Etoricoxib: Results From a Six-Month Prospective Clinical Intervention. J Bone Miner Res.2017;32(8):1659-1666. doi: 10.1002/jbmr.3157.
29. Antonarakis SE, Beckmann JS. Mendelian disorders deserve more attention. Nature Rev Genet. 2006;7(4):277-282. doi: 10.1038/nrg1826.
30. Waszczykowski M, Fabiś J, Zwierzchowski TJ, Waszczykowska E. Evaluation of effectiveness of osteoporosis treatment in patient with pachydermoperiostosis according to densitometric findings. Ortopedia Traumatologia Rehabilitacja. 2013;15(1):1-10. doi: 10.5604/15093492.1032795.
31. Jojima H, Kinoshita K, Naito M. A case of pachydermoperiostosis treated by oral administration of a bisphosphonate and arthroscopic synovectomy. Modern Rheumatology. 2007;17(4):330-332. doi: 10.3109/s10165-007-0585-8.
32. Chakraborty PP, Bhattacharjee R, Mukhopadhyay S, Chowdhury S. Pseudoacromegaly in pachydermoperiostosis. BMJ Case Rep. 2016:bcr2016214624. doi: 10.1136/bcr-2016-214624.
33. Guyot-Drouot MH, Solau-Gervais E, Cortet B, et al. Rheumatologic manifestations of pachydermoperiostosis and preliminary experience with bisphosphonates. J Rheumatol. 2000;27(10):2418-2423.
34. Maeda H, Kumagai K, Konishi F, et al. Successful treatment of arthralgia with tamoxifen citrate in a patient with pachydermoperiostosis. Rheumatology. 2000;39(10):1158-1159. doi: 10.1093/rheumatology/39.10.1158.
35. George L, Sachithanandam K, Gupta A, Pulimood S. Frontal rhytidectomy as surgical treatment for pachydermoperiostosis: A case report. J Dermatol Treatm. 2009;19(1):61-63. doi: 10.1080/09546630701389955.
36. Bingol UA, Cinar C. Pachydermoperiostosis. J Craniofac Surg. 2014;25(6):e563-e564. doi: 10.1097/scs.0000000000001149.
37. Seyhan T, Ozerdem OR, Aliagaoglu C. Severe complete pachydermoperiostosis (Touraine-Solente-Gole syndrome). Dermatol Surg. 2005;31(11 Pt 1):1465-1467.
Supplementary files
|
|
1. Fig. 1. | |
| Subject | ||
| Type | Исследовательские инструменты | |
View
(253KB)
|
Indexing metadata ▾ | |
|
|
2. Fig. 2. | |
| Subject | ||
| Type | Исследовательские инструменты | |
View
(219KB)
|
Indexing metadata ▾ | |
|
|
3. Fig. 3. | |
| Subject | ||
| Type | Исследовательские инструменты | |
View
(420KB)
|
Indexing metadata ▾ | |
|
|
4. Fig. 4. | |
| Subject | ||
| Type | Исследовательские инструменты | |
View
(232KB)
|
Indexing metadata ▾ | |
Review
For citations:
Fursenko V.A., Grebennikova T.A., Nikitin A.G., Belaya Zh.E. Pachydermoperiostosis: a case report. Osteoporosis and Bone Diseases. 2017;20(2):52-57. (In Russ.) https://doi.org/10.14341/osteo2017252-57
This work is licensed under a Creative Commons Attribution-NonCommercial-NoDerivatives 4.0 International License (CC BY-NC-ND 4.0).
































