Treatment of severe idiopathic hypoparathyroidism: a case report
https://doi.org/10.14341/osteo9878
Abstract
Hypoparathyroidism is a rare disorder characterized by parathyroid hormone (PTH) insufficiency, the development of hypocalcemia and alteration of bone tissue remodeling.
The goal of treatment is to normalize the indicators of calcium-phosphorus metabolism and leveling of clinical manifestations. Standard treatment of hypoparathyroidism consists of oral calcium and active forms of vitamin D, in doses necessary to maintain calcium levels at the lower limit of the reference interval.
Nevertheless, treatment of the disease exerts certain difficulties in clinical practice. At the same time, compensation of the hypoparathyroidism is necessary to prevent ectopic calcification. Daily subcutaneous delivery of PTH (1–84) and PTH (1–34) has emerged as a promising therapeutic tool. However, its use should be restricted to patients insufficiently controlled with the standard treatment with active vitamin D and calcium.
We present a clinical case of idiopathic hypoparathyroidism with severe clinical presentation of hypocalcaemia and ectopic calcification. Idiopathic hypoparathyroidism is a consequence of autoimmune destruction of the parathyroid glands and is exhibited by excluding all known causes of hypoparathyroidism.
PTH (1–34) treatment allowed reducing the dose of calcium and vitamin D and achieving compensation of the disease.
About the Authors
Diliara Sh. UmiarovaEndocrinology Research Centre
Russian Federation
resident
Tatiana A. Grebennikova
Endocrinology Research Centre
Russian Federation
MD
Natalya V. Tarbaeva
Endocrinology Research Centre
Russian Federation
MD, PhD
Zhanna E. Belaya
Endocrinology Research Centre
Russian Federation
MD, PhD, Professor
References
1. Mannstadt M, Bilezikian JP, Thakker RV, et al. Hypoparathyroidism. Nature Reviews Disease Primers. 2017;3:17055. doi: 10.1038/nrdp.2017.55.
2. Гребенникова Т.А., Белая Ж.Е. Гипопаратиреоз: современное представление о заболевании и новые методы лечения. // Эндокринная хирургия. – 2017. –T.11. — №2 — С.70-80. [Grebennikova TA, Belaya ZE, Melnichenko GA. Hypoparathyroidism: disease update and new methods of treatmen. Endocrine Surgery. 2017;11(2):70-80. (In Russ.)]. doi: 10.14341/serg2017270-80
3. Shoback DM, Bilezikian JP, Costa AG, et al. Presentation of Hypoparathyroidism: Etiologies and Clinical Features. J. Clin. Endocr. Metab. 2016;101(6):2300-2312. doi: 10.1210/jc.2015-3909.
4. Eisenbarth GS, Gottlieb PA. Autoimmune Polyendocrine Syndromes. N. Engl. J. Med. 2004;350(20):2068-2079. doi: 10.1056/NEJMra030158.
5. Гребенникова T.A, Ларина И.И., Белая Ж.Е., Рожинская Л.Я. Клинический случай применения терипаратида для лечения послеоперационного гипопаратиреоза с неконтролируемой гипокальциемией в сочетании с тяжелым остеопорозом. // Остеопороз и остеопатии. — 2016. — T. 19. — №3. — С. 37—40. [Grebennikova TA, Larina II, Belaya ZhE, Rozhinskaya LY. Clinacil case of Teriparatide use for the treatment of postoperative Hypoparathyroidism with uncontrolled with uncontrolled hypocalcemia combined with severe osteoporosis. Osteoporosis and bone diseases. 2016;19(3):37-40. (In Russ)]. doi: 10.14341/osteo2016337-40
6. Белая Ж.Е., Рожинская Л.Я. Анаболическая терапия остеопороза. Tерипaрaтид: эффективность, безопасность и область применения. // Остеопороз и остеопатии. — 2013. — T. 16. — №2. — С. 32-40. [Belaya ZE, Rozhinskaya LY. Anabolicheskaya terapiya osteoporoza. Teriparatide: effektivnost’, bezopasnost’ i oblast’ primeneniya. Osteoroposis and bone diseases. 2013;16(2):32-40.(In Russ.)]. doi: 10.14341/osteo2013232-40
7. Winer KK. Synthetic Human Parathyroid Hormone 1-34 vs Calcitriol and Calcium in the Treatment of Hypoparathyroidism. JAMA. 1996;276(8):631. doi: 10.1001/jama.1996.03540080053029.
8. Winer KK, Yanovski JA, Sarani B, Cutler Jr GB. A Randomized, Cross-Over Trial of Once-DailyVersusTwice-Daily Parathyroid Hormone 1–34 in Treatment of Hypoparathyroidism. J. Clin. Endocr. Metab. 1998;83(10):3480-3486. doi: 10.1210/jcem.83.10.5185.
9. Winer KK. Advances in the treatment of hypoparathyroidism with PTH 1–34. Bone. 2018. doi: 10.1016/j.bone.2018.09.018.
10. Vahle JL, Sato M, Long GG, et al. Skeletal Changes in Rats Given Daily Subcutaneous Injections of Recombinant Human Parathyroid Hormone (1-34) for 2 Years and Relevance to Human Safety. Toxicol. Pathol. 2016;30(3):312-321. doi: 10.1080/01926230252929882.
11. Goswami R, Sharma R, Sreenivas V, et al. Prevalence and progression of basal ganglia calcification and its pathogenic mechanism in patients with idiopathic hypoparathyroidism. Clin. Endocrinol. (Oxf.). 2012;77(2):200-206. doi: 10.1111/j.1365-2265.2012.04353.x.
12. Savazzi GM, Cusmano F, Musini S. Cerebral Imaging Changes in Patients with Chronic Renal Failure Treated Conservatively or in Hemodialysis. Nephron. 2001;89(1):31-36. doi: 10.1159/000046040.
13. Goswami R, Millo T, Mishra S, et al. Expression of Osteogenic Molecules in the Caudate Nucleus and Gray Matter and Their Potential Relevance for Basal Ganglia Calcification in Hypoparathyroidism. J. Clin. Endocr. Metab. 2014;99(5):1741-1748. doi: 10.1210/jc.2013-3863.
14. Bollerslev J, Rejnmark L, Marcocci C, et al. European Society of Endocrinology Clinical Guideline: Treatment of chronic hypoparathyroidism in adults. Eur. J. Endocrinol. 2015;173(2):G1-G20. doi: 10.1530/eje-15-0628.
Supplementary files
|
|
1. Рисунок 1 | |
| Subject | ||
| Type | Исследовательские инструменты | |
View
(382KB)
|
Indexing metadata ▾ | |
|
|
2. Рисунок 2 | |
| Subject | ||
| Type | Исследовательские инструменты | |
View
(34KB)
|
Indexing metadata ▾ | |
|
|
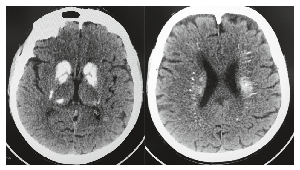
3. Fig. 1. MSCT of the brain. Note: Farah syndrome is a calcification of the basal ganglia (right) and nerve fibers (left). | |
| Subject | ||
| Type | Исследовательские инструменты | |
View
(647KB)
|
Indexing metadata ▾ | |
|
|
4. Fig. 2. Dynamics of calcium levels on the background of the treatment | |
| Subject | ||
| Type | Исследовательские инструменты | |
View
(52KB)
|
Indexing metadata ▾ | |
Review
For citations:
Umiarova D.Sh., Grebennikova T.A., Tarbaeva N.V., Belaya Zh.E. Treatment of severe idiopathic hypoparathyroidism: a case report. Osteoporosis and Bone Diseases. 2018;21(2):36-40. (In Russ.) https://doi.org/10.14341/osteo9878
This work is licensed under a Creative Commons Attribution-NonCommercial-NoDerivatives 4.0 International License (CC BY-NC-ND 4.0).
































